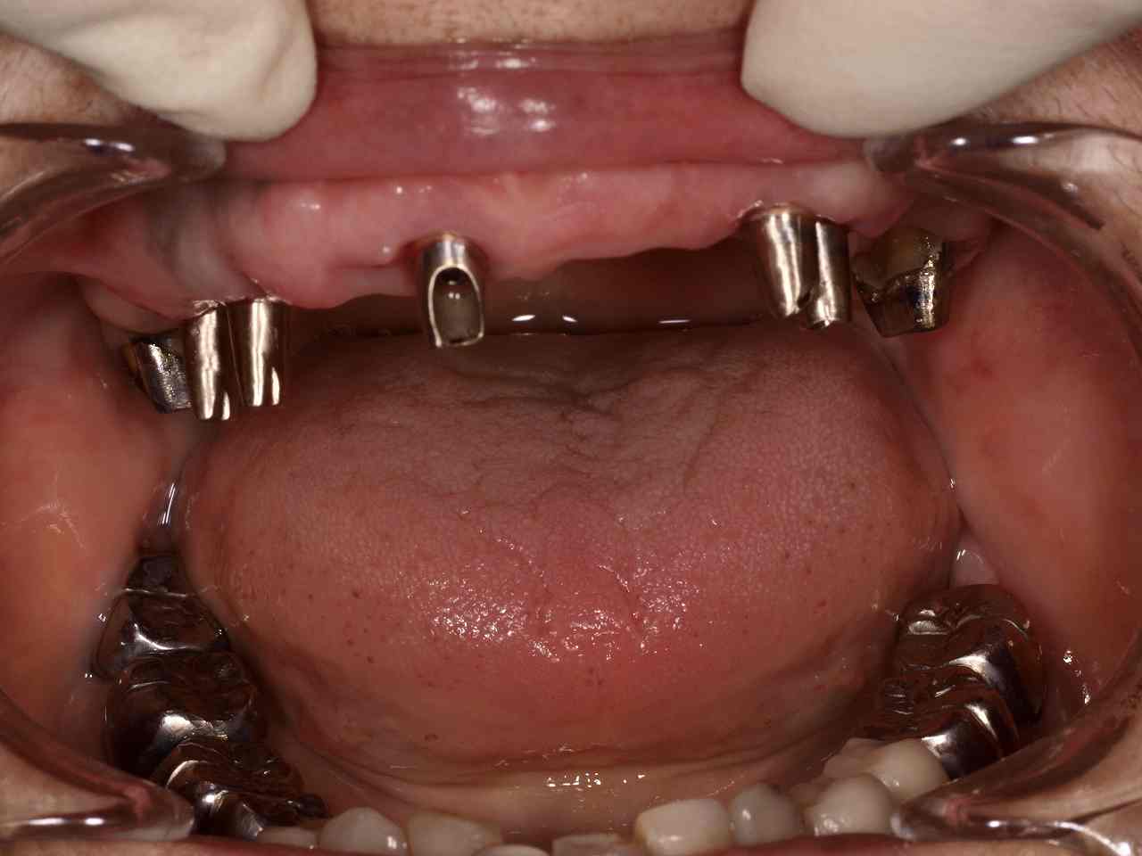
お知らせ|広島市安佐南区の歯科医院 > お知らせ トップ お知らせ・ブログ お知らせ スタッフブログ お知らせ お知らせ 2020/10/06 右上のロングスパンのジルコニアクラウンの作成 天然歯に合わせて本来の歯の輝きを お知らせ 2020/10/05 女性の前歯、2本を綺麗なクラウンにて仕上げていきます ジルコニアクラウンを用いた審美治療 お知らせ 2020/10/05 前歯部1本ケースをきれいなジルコニアクラウンにて仕上げていきます お知らせ 2020/10/03 前歯部6本のジルコニアクラウンの作成工程 本来の歯の輝きを求めて お知らせ 2020/10/03 前歯部のクラウンをやり変えたいとのこと ジルコニアクラウンを用いた審美修復 お知らせ 2020/10/02 72歳の方のインプラントを用いた補綴治療 最終補綴の難しさ お知らせ 2020/10/02 右下のインプラント埋入 インプラント埋入の実際 お知らせ 2020/10/01 インプラント埋入後、3か月になります インプラント補綴の最終段階になります お知らせ 2020/10/01 インプラント埋入後、2ケ月になります 審美的な補綴物になるように歯肉形態を付与していきます お知らせ 2020/09/30 前歯部のインプラント埋入ケースになります 女性の前歯で審美が求められる場所になります << 1 2 3 4 5 … 244 245 246 247 248 … 485 486 487 488 489 >> Web診療予約 初めての方へ 選ばれ続ける理由 院内設備について 歯が痛いしみる一般歯科 歯がぐらぐらする歯周病 健康な歯を保ちたい予防歯科 子供の虫歯予防をしたい小児歯科 銀歯をセラミックに審美歯科 白い歯を目指しませんか?ホワイトニング 矯正専門医がいるので安心矯正歯科 抜けた歯を補いたいインプラント・入れ歯 医院案内 スタッフ紹介 メリィハウス歯科クリニックオフィシャルホームページ ラベンダー歯科クリニックオフィシャルホームページ お知らせ・ブログ ホーム 診療科目 一般歯科 歯周病治療 予防治療 小児歯科 審美治療 ホワイトニング 矯正歯科 入れ歯・インプラント マウスピース矯正 初めての方へ 院長・スタッフ 設備紹介 医院案内・アクセス メニューを閉じる