審美領域のジルコニアブリッジの作成 右上4番が欠損になります
審美領域のジルコニアブリッジの作成 右上4番が欠損になります

セレックシステムにて設計後、ミリングしていきます

ジルコニアをシンタリング工程に入ります

9時間の焼成が終わったところになります

熟練の技工士がポーセレンを築造していきます


ポーセレンを築造しては焼成を多い時では10回はこの工程を繰り返していきます


最終的に出来上がったジルコニアフレームのセラミッククラウンになります


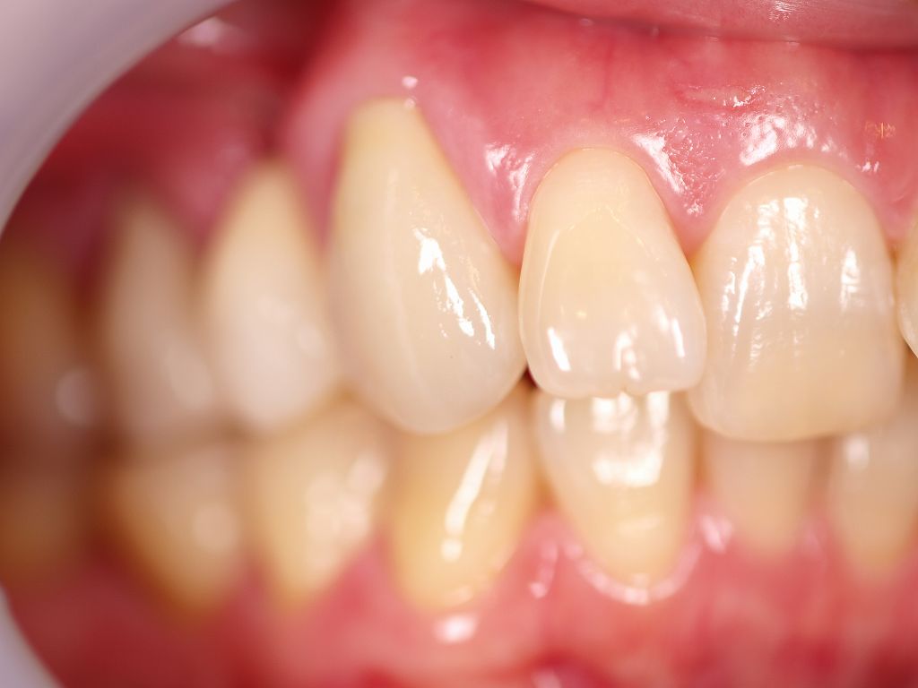
口腔内にて合わせたところになります
周囲の歯ともよくあっているのがわかります


どれが作り物の歯かわからなくなっています




























