佐伯区と安佐南区との境にあるこころ歯科クリニックの右上の3番部のインプラント部インプラント埋入後の上部構造までの流れをご説明します
佐伯区と安佐南区との境にあるこころ歯科クリニックの右上の3番部のインプラント部インプラント埋入後の上部構造までの流れをご説明します

2次オペ時直後になります

直接仮歯にてインプラントに負荷をかけていきました

口蓋側から見て

少し歯茎の形態ができました


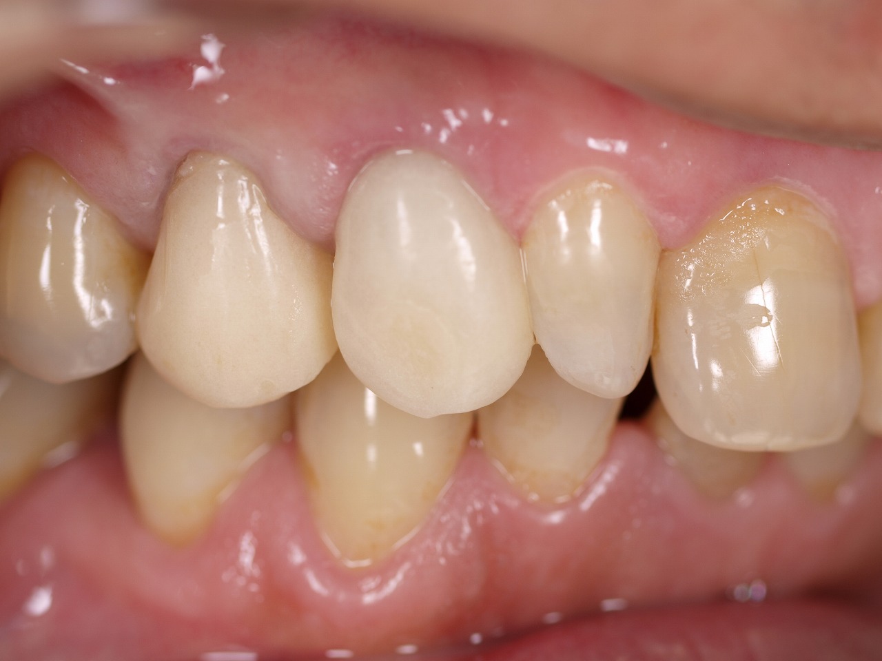
プロビジョナルを入れてさらに歯肉形態を付与していきました


プロビジョナルになります


プロビジョナルを入れて2週間になります
最終本印象を行っていきます


歯間乳頭を付与した歯肉形態が出来上がりました




























