前歯部の歯列不正 ジルコニアセラミッククラウンいてきれいにしたいとのこと 矯正治療はなしとのこと
前歯部の歯列不正 ジルコニアセラミッククラウンいてきれいにしたいとのこと 矯正治療はなしとのこと

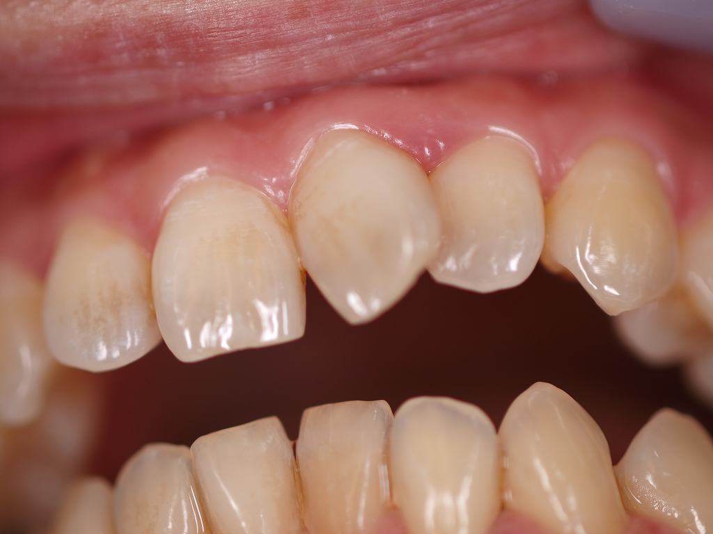
術前の口腔内になります

歯列不正が存在

かなり歯が45度くらい回転

これをジルコニアセラミッククラウンにて最小限でなるべくきれいにしたいとのこと


最終補綴ジルコニア審美クラウンが入りました
左上の1本だけ生活歯にて仕上げています


回転はかなりそろうようになりました
喜んでいただきました

綺麗に仕上がっています




























