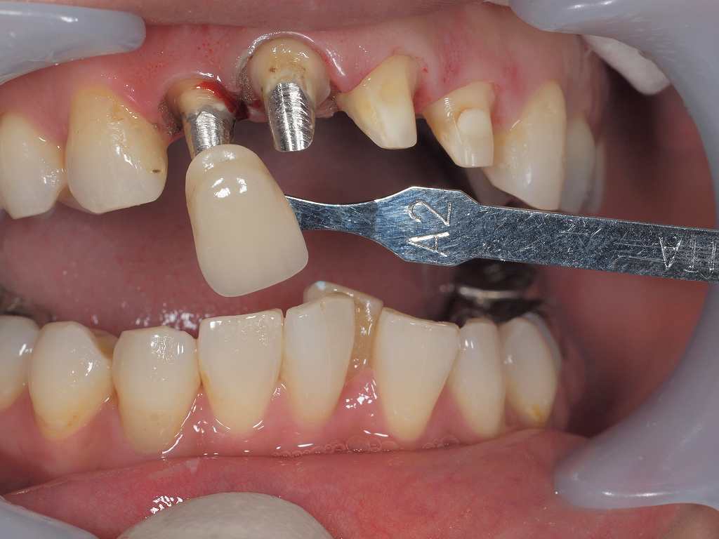
ブログ一覧|広島市安佐南区の歯科医院 ブログ一覧 トップ ブログ一覧 お知らせ スタッフブログ ブログ一覧 お知らせ 2019/12/06 右上のブリッジが噛むと痛む 診てほしい お知らせ 2019/12/06 木曜日の午後からは若手の先生と豚の実習をしました GBR(骨造成)が今回のテーマです アジアンキットにて骨欠損部に自家骨を持ってくるという練習になります お知らせ 2019/12/05 インプラントの上部構造をフルジルコニアクラウンにて作成していきます お知らせ 2019/12/05 右上1番 審美ジルコニアクラウンの作成 フレームの焼成から作成まで2日から3日間かかります お知らせ 2019/12/04 前歯部4本のジルコニアクラウンの口腔内へ装着 患者さん満足を求めて お知らせ 2019/12/04 ジルコニア審美ブリッジの作成 高強度を保ちながらの見た目もきれいな理想的な補綴物の作成 お知らせ 2019/12/03 前歯部4連冠ジルコニアクラウンの作成 お知らせ 2019/12/03 上顎前歯部の6本単冠オールセラミッククラウンの作成 << 1 2 3 4 5 … 368 369 370 371 372 … 870 871 872 873 874 >> Web診療予約 初めての方へ 選ばれ続ける理由 院内設備について 歯が痛いしみる一般歯科 歯がぐらぐらする歯周病 健康な歯を保ちたい予防歯科 子供の虫歯予防をしたい小児歯科 銀歯をセラミックに審美歯科 白い歯を目指しませんか?ホワイトニング 矯正専門医がいるので安心矯正歯科 抜けた歯を補いたいインプラント・入れ歯 医院案内 スタッフ紹介 メリィハウス歯科クリニックオフィシャルホームページ ラベンダー歯科クリニックオフィシャルホームページ お知らせ・ブログ ホーム 診療科目 一般歯科 歯周病治療 予防治療 小児歯科 審美治療 ホワイトニング 矯正歯科 入れ歯・インプラント マウスピース矯正 初めての方へ 院長・スタッフ 設備紹介 医院案内・アクセス メニューを閉じる