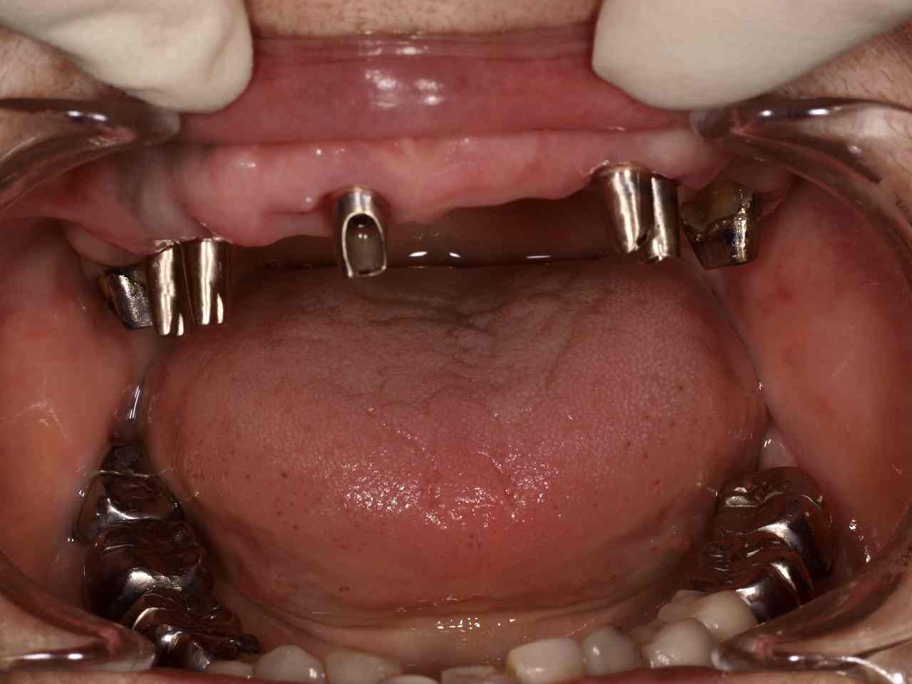
ブログ一覧|広島市安佐南区の歯科医院 ブログ一覧 トップ ブログ一覧 お知らせ スタッフブログ ブログ一覧 2018/04/24 口腔内にて合せたところです。 しっかりした補綴を作っていきます。 2018/04/24 メタルボンドにて作成。 2018/04/24 インプラントブリッジ 2018/04/24 口腔内にてシェード合せを行っています。 この操作が仕上がりの明暗を分けます。 2018/04/24 ジルコニアクラウンの作成 シンタリングからステインまで 2018/04/24 インプラント周囲炎 2018/04/24 歯牙の牽引 2018/04/23 歯牙破折。 牽引にて保存治療へ。 << 1 2 3 4 5 … 660 661 662 663 664 … 870 871 872 873 874 >> Web診療予約 初めての方へ 選ばれ続ける理由 院内設備について 歯が痛いしみる一般歯科 歯がぐらぐらする歯周病 健康な歯を保ちたい予防歯科 子供の虫歯予防をしたい小児歯科 銀歯をセラミックに審美歯科 白い歯を目指しませんか?ホワイトニング 矯正専門医がいるので安心矯正歯科 抜けた歯を補いたいインプラント・入れ歯 医院案内 スタッフ紹介 メリィハウス歯科クリニックオフィシャルホームページ ラベンダー歯科クリニックオフィシャルホームページ お知らせ・ブログ ホーム 診療科目 一般歯科 歯周病治療 予防治療 小児歯科 審美治療 ホワイトニング 矯正歯科 入れ歯・インプラント マウスピース矯正 初めての方へ 院長・スタッフ 設備紹介 医院案内・アクセス メニューを閉じる