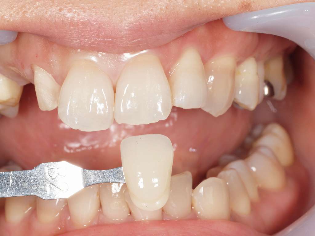
ブログ一覧|広島市安佐南区の歯科医院 ブログ一覧 トップ ブログ一覧 お知らせ スタッフブログ ブログ一覧 2018/03/16 ジルコニアブリッジの作成工程になります。 2018/03/16 セレックセラミック審美治療。 欠損補綴におけるジルコニアブリッジ 2018/03/16 ジルコニアブリッジの7時間半かけてのシンタリング後、模型合わせ、内面調整ポーセレン築造へ 焼成中の画像になります。 焼き上げると青色のポーセレンもこんな色調を作り出していきます。 2018/03/16 術前の写真になります。 2018/03/16 口腔内のSET時の様子です。 色調にての微調整がいる場合はエステティックセメントを使うか、パナビアか、マルチリンクかと合着用のセメントでも悩むことがあります。 2018/03/16 ジルコニアブリッジのシェード合せ。 2018/03/16 ジルコニアブリッジのシェード合せ。 2018/03/16 ジルコニアブリッジが入ったところのものになります。 強度的にも高い技工物かと思います。 << 1 2 3 4 5 … 710 711 712 713 714 … 870 871 872 873 874 >> Web診療予約 初めての方へ 選ばれ続ける理由 院内設備について 歯が痛いしみる一般歯科 歯がぐらぐらする歯周病 健康な歯を保ちたい予防歯科 子供の虫歯予防をしたい小児歯科 銀歯をセラミックに審美歯科 白い歯を目指しませんか?ホワイトニング 矯正専門医がいるので安心矯正歯科 抜けた歯を補いたいインプラント・入れ歯 医院案内 スタッフ紹介 メリィハウス歯科クリニックオフィシャルホームページ ラベンダー歯科クリニックオフィシャルホームページ お知らせ・ブログ ホーム 診療科目 一般歯科 歯周病治療 予防治療 小児歯科 審美治療 ホワイトニング 矯正歯科 入れ歯・インプラント マウスピース矯正 初めての方へ 院長・スタッフ 設備紹介 医院案内・アクセス メニューを閉じる