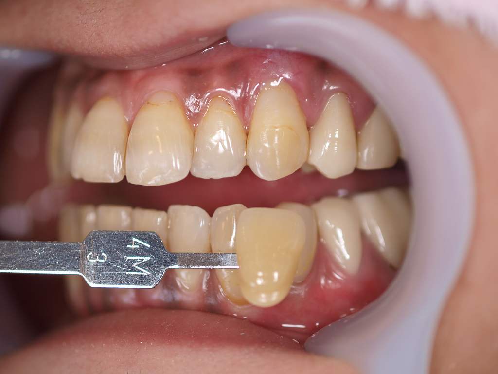
ブログ一覧|広島市安佐南区の歯科医院 ブログ一覧 トップ ブログ一覧 お知らせ スタッフブログ ブログ一覧 2017/11/21 ジルコニアクラウンの作成 シンタリングからステインまで 大臼歯部 2017/11/21 こんな具合に情報を得て、技工士に伝えます。 2017/11/21 右のセラミックを色合わせするのに左から全体の情報を得ます。 2017/11/20 セット時のセラミッククラウンになります。 2017/11/20 シェードテイキングになります。 2017/11/20 前歯部のジルコニアクラウンの作成。シェードテイキングになります。 2017/11/20 インプラントの上部構造でワックスアップからパウダー吹付、ワックスアップとアバットメントのスキャン、削りだし、グレーズ、ステイン、焼成になります。 2017/11/20 ジルコニアクラウンの作成 シンタリングからステインまで << 1 2 3 4 5 … 831 832 833 834 835 … 870 871 872 873 874 >> Web診療予約 初めての方へ 選ばれ続ける理由 院内設備について 歯が痛いしみる一般歯科 歯がぐらぐらする歯周病 健康な歯を保ちたい予防歯科 子供の虫歯予防をしたい小児歯科 銀歯をセラミックに審美歯科 白い歯を目指しませんか?ホワイトニング 矯正専門医がいるので安心矯正歯科 抜けた歯を補いたいインプラント・入れ歯 医院案内 スタッフ紹介 メリィハウス歯科クリニックオフィシャルホームページ ラベンダー歯科クリニックオフィシャルホームページ お知らせ・ブログ ホーム 診療科目 一般歯科 歯周病治療 予防治療 小児歯科 審美治療 ホワイトニング 矯正歯科 入れ歯・インプラント マウスピース矯正 初めての方へ 院長・スタッフ 設備紹介 医院案内・アクセス メニューを閉じる