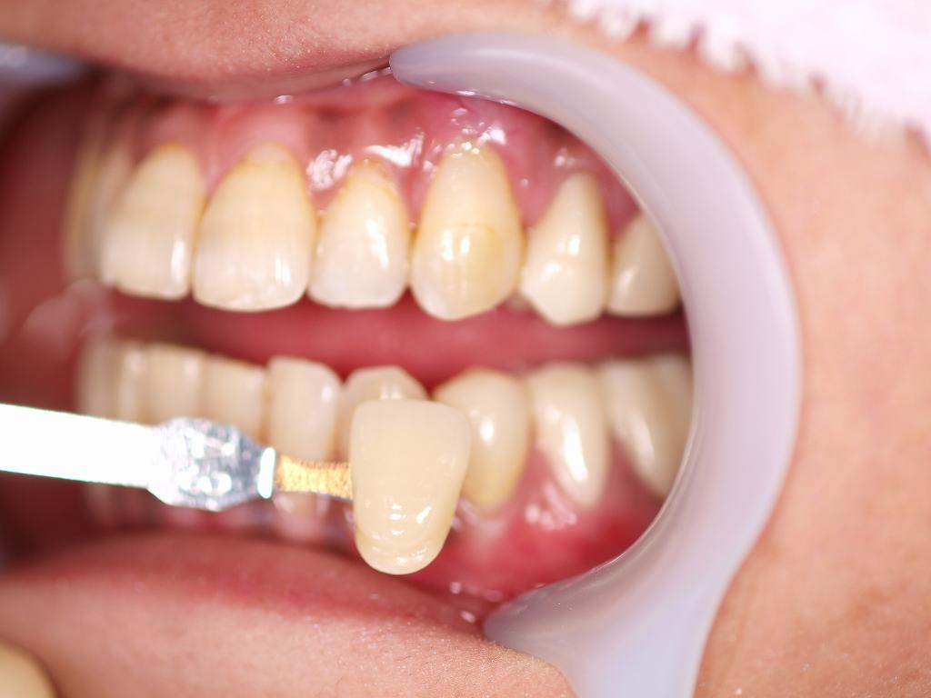
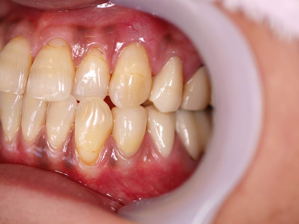
口腔内写真は大事です。 その当時の状態を鮮明に記録しておくことは患者さんとこれからもかかわって一緒に老いていくうえで大切な情報です。| |広島市安佐南区の歯科医院 口腔内写真は大事です。 その当時の状態を鮮明に記録しておくことは患者さんとこれからもかかわって一緒に老いていくうえで大切な情報です。 トップ お知らせ・ブログ 口腔内写真は大事です。 その当時の状態を鮮明に記録しておくことは患者さんとこれからもかかわって一緒に老いていくうえで大切な情報です。 口腔内写真は大事です。 その当時の状態を鮮明に記録しておくことは患者さんとこれからもかかわって一緒に老いていくうえで大切な情報です。 Web診療予約 初めての方へ 選ばれ続ける理由 院内設備について 歯が痛いしみる一般歯科 歯がぐらぐらする歯周病 健康な歯を保ちたい予防歯科 子供の虫歯予防をしたい小児歯科 銀歯をセラミックに審美歯科 白い歯を目指しませんか?ホワイトニング 矯正専門医がいるので安心矯正歯科 抜けた歯を補いたいインプラント・入れ歯 医院案内 スタッフ紹介 メリィハウス歯科クリニックオフィシャルホームページ ラベンダー歯科クリニックオフィシャルホームページ お知らせ・ブログ ホーム 診療科目 一般歯科 歯周病治療 予防治療 小児歯科 審美治療 ホワイトニング 矯正歯科 入れ歯・インプラント マウスピース矯正 初めての方へ 院長・スタッフ 設備紹介 医院案内・アクセス メニューを閉じる