前歯部のインプラント治療 歯のないところ2本がインプラントになります
前歯部のインプラント治療 歯のないところ2本がインプラントになります

狩場が入り最終的のインプラント部の型取りを行っていきます

どの歯2本がインプラントかわかりますか?
抜歯即時インプラント埋入を2本行ったのですが、
歯茎が下がることなく仕上がっています

仮歯を外しました
歯のないところがインプラントになります

こんな感じです


インプラント部はこんな感じに仕上がっています


口腔内の情報を採取し、最終補綴物へと仕上げていきます


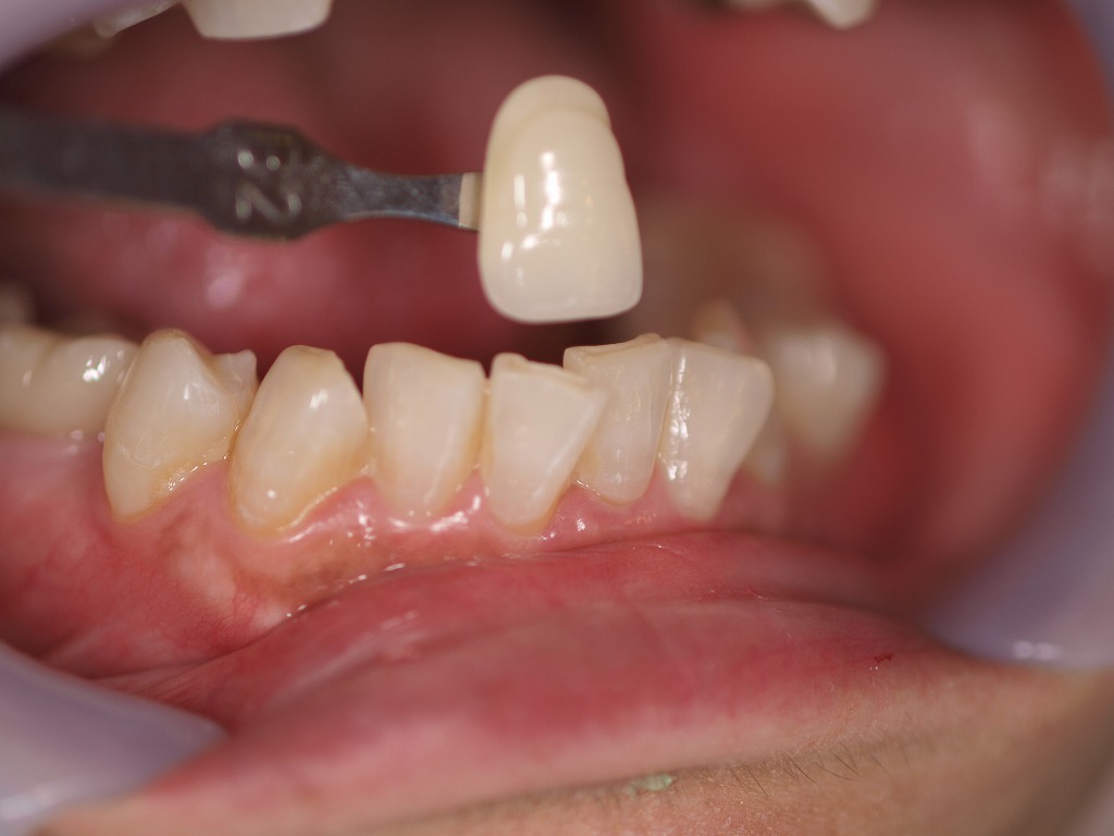
シェード合わせは下前歯に及びます
この情報がすべてとなります




























