前歯部の抜歯即時インプラント埋入 残せない歯は抜歯していきます
前歯部の抜歯即時インプラント埋入 残せない歯は抜歯していきます

前歯部をきれいにしたいとのこと
ほかの医院では残せない歯があるといわれたとのこと

このようなクラウンが入っています

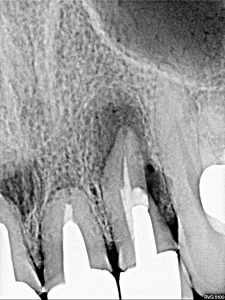
レントゲンにてもパーフォレーションを認めるとともに
根尖病巣も大きく存在しています

こちらの歯は外科処置もしてあり病巣も大きく存在しています


クラウンを外して2本歯を抜歯するとともに即時インプラント埋入
をしていきます


残せない歯を抜かせていただきました
インプラントを埋入していきます


隙間は補填材を敷き詰め、縫合して仮歯を入れて終了となります


3日後にはこのような傷口となります




























