下前歯のインプラント埋入 最終補綴へ
下前歯のインプラント埋入 最終補綴へ

インプラントが固まる3か月を待ち、インプレッションポストを
たたえて型取りを行っていきます

その後チタン製のアバットメントとブリッジが出来上がってきます

24本のブリッジにて最終補綴を行っています
本来がこのような歯が残っていたため患者さんとのお話でも
元の形態に近くとのことでした

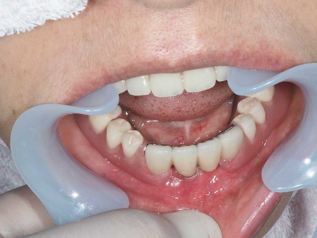
上部構造が入ったところになります


入れ歯はノンクラスプデンチャーにてリンガルプレートにて作成しています


リンガルプレートを用いると入れ歯の厚みが薄くできる仕上がりになるため舌感がよくなります


上顎は無歯顎なため総入れ歯にはなります


解剖学形態を加味しながらこのようなインプラントの恩恵を受け
このような歯に仕上がりました




























