抜歯即時 右下6番のインプラント埋入 被せが取れてくると中央にて破折していました
抜歯即時 右下6番のインプラント埋入 被せが取れてくると中央にて破折していました

まだお若く、今後6,7番がないことで入れ歯を入れていきの歯嫌だとのこと
予算からも1本だけインプラント埋入となりました

抜糸した状態の写真になります

埋入位置にインプラント窩を形成していきます
今回は神経までの距離がないケースなためここが1番のシビアな部分になります

埋入窩を形成しそこにばーを差し込み距離を測ります


埋入後、補填材を敷き詰め像骨処置を行っていきます
10mm以上のインプラントでなければインプラントは埋入しないことにしています


埋入後になります


まだ2か月ですが遠方よりいらしていただき、インプラントの数値もいい数値が出るので型取りを行っていきます
時間と負荷をかけていくと骨密度も時間といともに上がっていきます


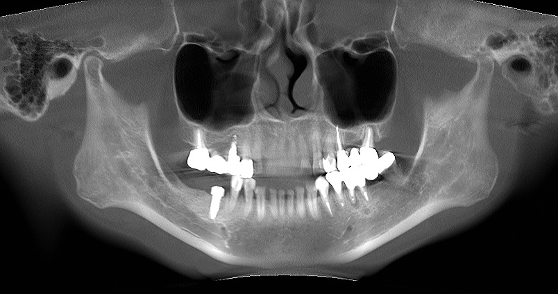
埋入前と埋入後のパントモになります
神経までの距離がないことがうかがえます




























