歯が原因で鼻の方の病気になることがあります 歯性上顎洞炎
歯が原因で鼻の方の病気になることがあります 歯性上顎洞炎

耳鼻科から紹介がありました
歯が原因で歯性上顎洞炎が起こっているとのこと

この7番の銀歯がはいいている歯が原因なのですが、、、
外見からは分かりにくいです

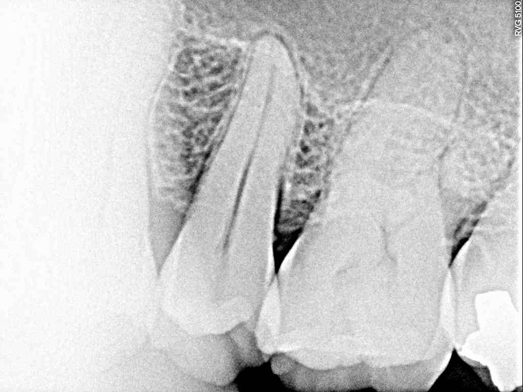
レントゲンです
6番は神経に作用するような大きな虫歯は感じにくいです

奥から2番目の7番の歯が原因ですが、、
レントゲンにてもさほど大きな虫歯には感じられません


レントゲンにても分かりにくかったのでCTにて精査していきました
この銀歯が確かに原因だとわかりましたのでこの銀歯を外していきます
失活しているとの確証のもとむ麻酔にて見ていきます
銀歯を外していくとこのようになっています


遠心部に虫歯があり神経もCT精査通り失活していました
死んだ神経の部屋をきれいにしていきます
根の治療


虫歯から破折し、神経に作用したと考えます


術前のCTにて左の上顎洞が真っ白くなっています
7番はCTからも根尖病巣が上顎洞内に入っています
それが大きく上顎洞内の炎症を起こしていました
根の治療後かぶせを立てて耳鼻科に見ていただくと完治といわれ
喜んでお話しされていました よかったです




























