左上3本のソケットリフトテクニックにてのインプラント埋入 上顎洞を挙上して埋入していきます
左上3本のソケットリフトテクニックにてのインプラント埋入 上顎洞を挙上して埋入していきます

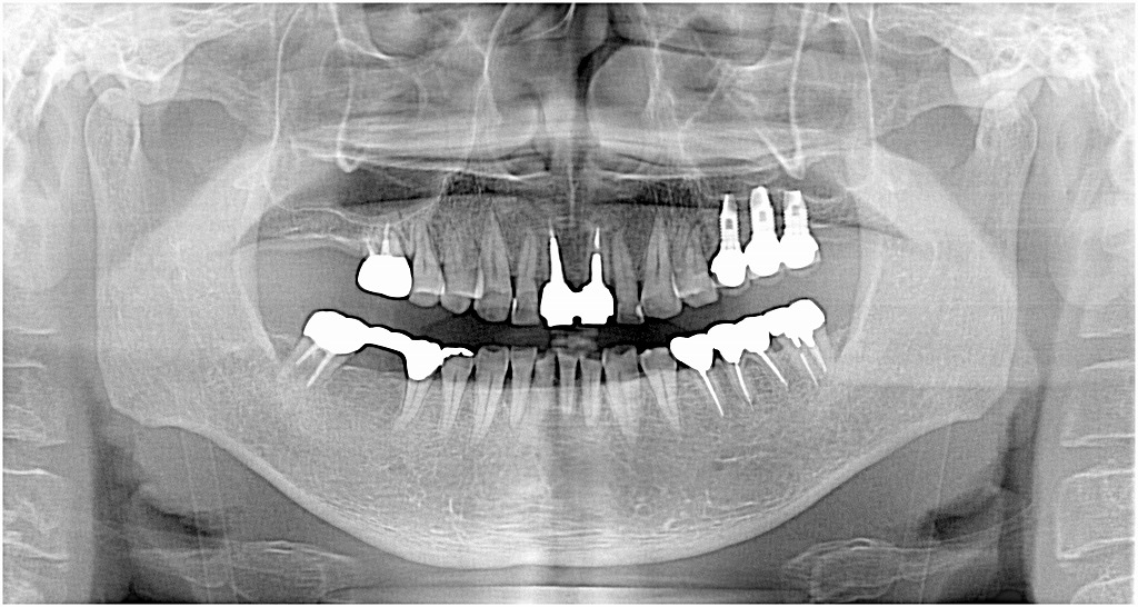
パノラマにて
左上は入れ歯も作ったけど、全くダメで入れていない
もう長く左がなく、前歯にトラブルが出てきた

左上3本インプラント埋入
懸垂縫合にて終了

インプラントを3本
2回法にて埋入しています

下顎が転出してきているため抜髄して低くして上顎のインプラント上部の補綴物が入るスペースを作ります


仕方がないですが、インプラントが固まる間に抜髄して下の歯3本を低くさせていただいています


上部構造は小臼歯の大きさで作成していってます


治療後はこのようなパノラマ像になります
臼歯部の安定がうかがえます


このようにインプラントをソケットリフトテクニックにて埋入しています
すべて10㎜以上のインプラントとなりました




























