前歯部のインプラント埋入後の補綴になります 何本かがインプラントになります
前歯部のインプラント埋入後の補綴になります 何本かがインプラントになります

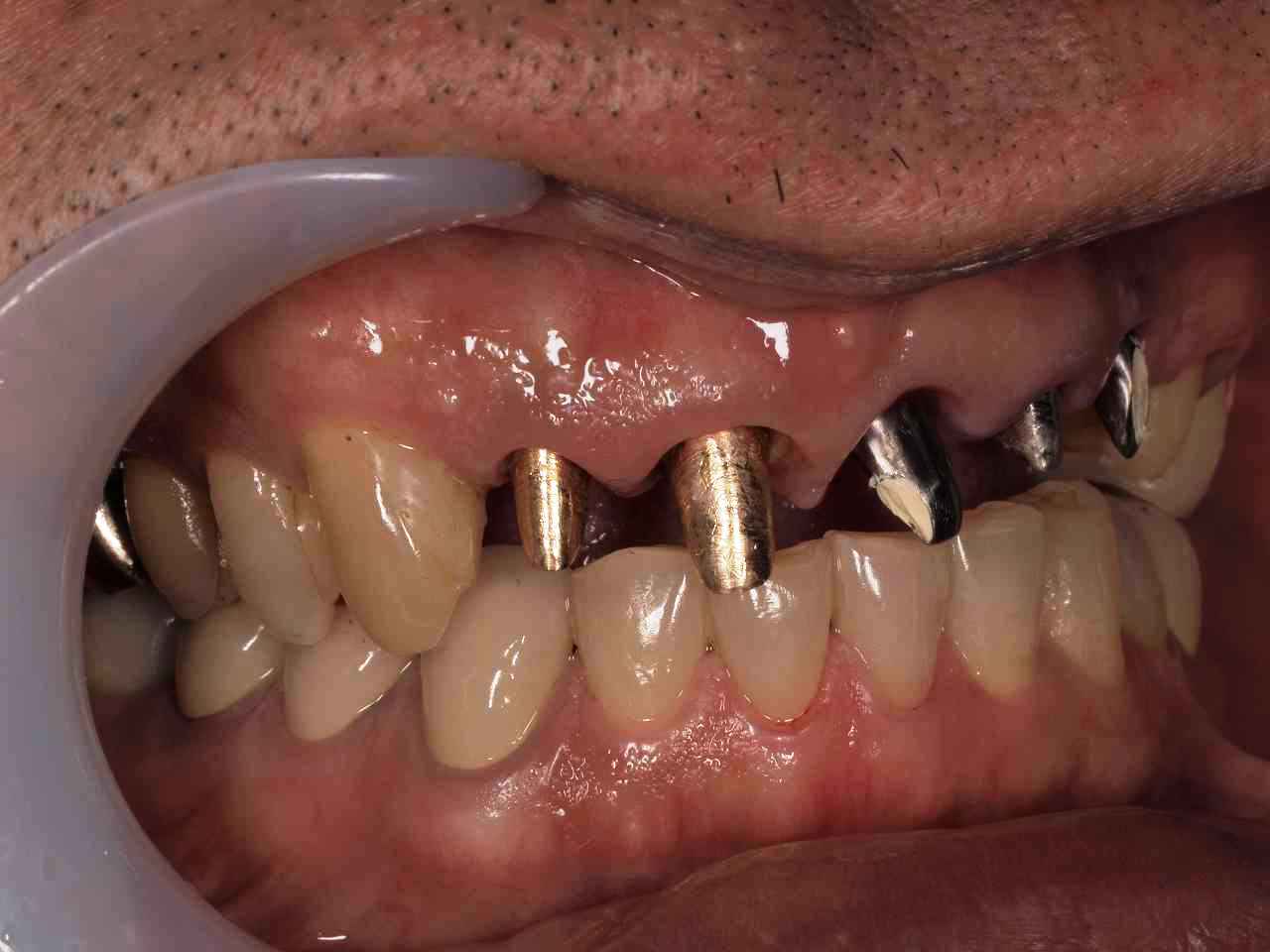
仮歯を入れてあります
どれがインプラントかわかりますか?

左上1,3番がインプラントになります

この2本がインプラントになります

左上の3番と1番がインプラントになります
インプラントを埋入していますが抜歯即時にて埋入していますので
審美的に最終形態をも言っていくには、歯茎が下がっていないのが重要なところになります


右上1,2番は天然歯になります


最終補綴になります
きれいに仕上がりどれがインプラントかもわからなく仕上がっているかと思います
歯を抜いてブリッジだと前歯部の補綴に強度を持たせるのは難しいです。 今回は強度も持たせながら審美にも仕上げています


左側方面観になります
咬合も安定しています

咬合関係になります




























