保険治療の被せからのジルコニアクラウンへのやり変え セラミッククラウンでも、歯自体の位置が悪い場合は、矯正治療なしではきれいにいきにくい場合もあります
保険治療の被せからのジルコニアクラウンへのやり変え セラミッククラウンでも、歯自体の位置が悪い場合は、矯正治療なしではきれいにいきにくい場合もあります

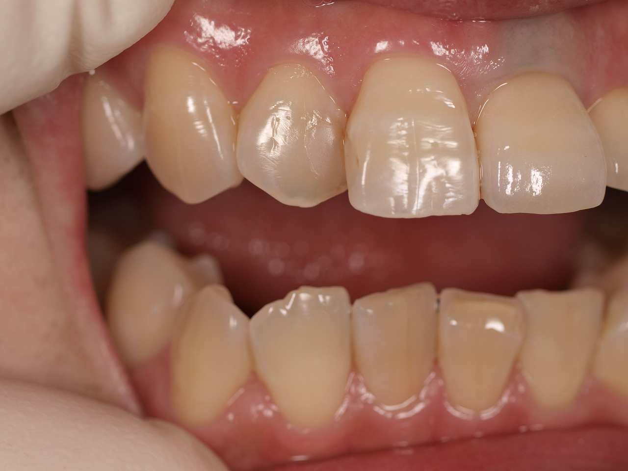
左上1,2番には保険のクラウンがはいいており色も年数がたつと変わりきれいにしたいとのこと
根の治療も終え、土台まで入っています
右上1番が極端に長いです

左上1,2番が右の1番に比べうちに入っていました

シェード合わせを行っていきました

なるべく多くの情報を得るようにしていきます


歯の色合いといっても少なくともこのような数に分けられます


セラミッククラウンが入ったところになります
歯の位置が内側にあることからも被せの立体感が前に出きらないところがあります


右上1番とも比べても歯頚線の位置が前に出きらないところがあります
歯を支えるコツを削合して歯頚ラインを合わせるやり方もありますが、
歯を支える骨を削る必要があり望まれませんでした


左上の歯茎も保険の歯の金属の流出があり、歯茎が黒くなっています
その点ではオールセラミックセラミッククラウンやジルコニアクラウンはその心配がありません




























