前歯が詰め物だらけで、ずっとコンプレックスを抱いてきた。 芸能人のように本当にきれいな歯になりたいと来院。
前歯が詰め物だらけで、ずっとコンプレックスを抱いてきた。 芸能人のように本当にきれいな歯になりたいと来院。

歯の色も明るくしたいとのこと
本人さんよく調べてきていらしていて、4番から4番までセラミックにして明るさは今よりも明るく、歯の形態はダレノカレさんの口元携帯写真を見せられました

咬合もきついように感じました。
ラミネートではCRの範囲も舌側まで及んでいるところがあり、
強い希望もあり、今後トラブルもありそうなためクラウンと判断しました

いたるところに樹脂が詰めてあります

確かにお若い方ですが、歯がきになります


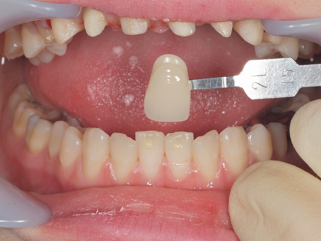
形成してシェード合わせをしていきます


多くの情報を引き出すようにしています


シェード合わせを行い、技工士に確かな色調と形態を伝えていきます
少し明るめの色調ということも反映していきます




























