過蓋咬合にて保険の前歯のブリッジが歯牙破折により崩壊 インプラント治療にて前歯部の咬合を再度維持
過蓋咬合にて保険の前歯のブリッジが歯牙破折により崩壊 インプラント治療にて前歯部の咬合を再度維持

このように前歯の部分を見ても咬合が深い場合の対処法は
奥歯をすべてやり変えてかみ合わせを上げるかをしない下前歯部の突き上げを受けて歯が持たなくなります

今回かみ合わせを上げることはできず、割れた歯を長いインプラントにて支持する方向にて治療を行うようになりました

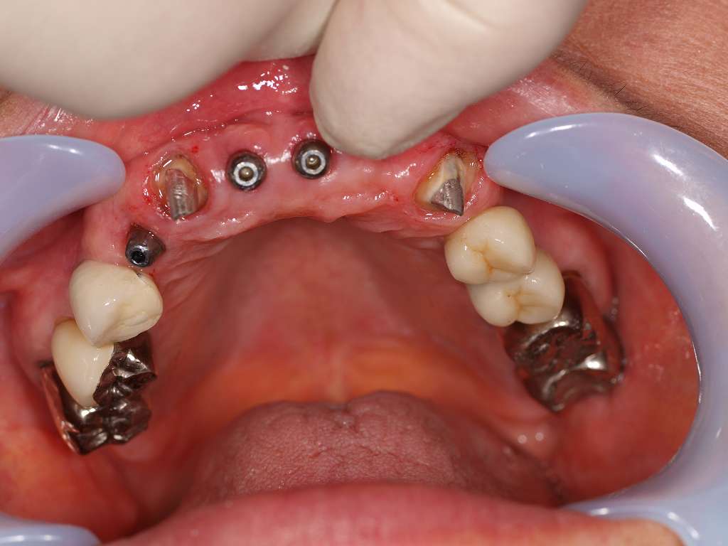
これからシェード合わせにて色合いを記録していきます

下前歯部の色合いも記録します


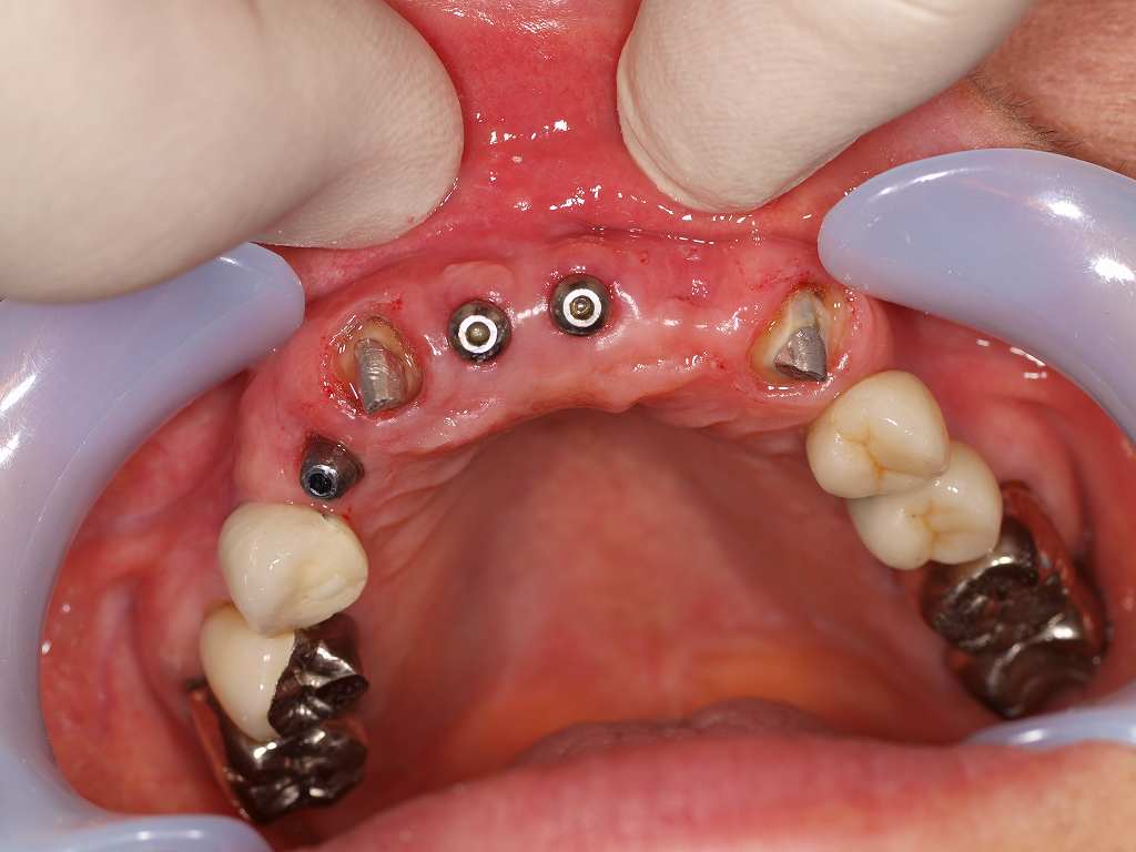
3本インプラントにて埋入を行っています
残された歯も持つようにと考えた設計になります


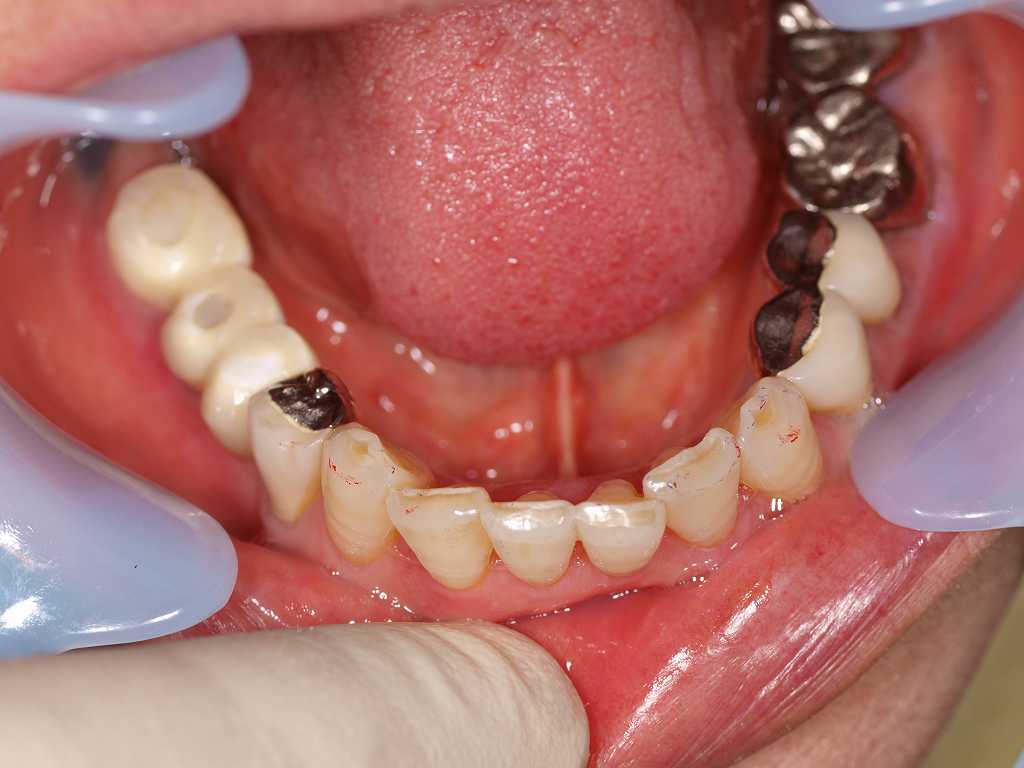
上顎と下顎の歯列になります
これよりプロビジョナル、最終補綴へと行っていきます




























