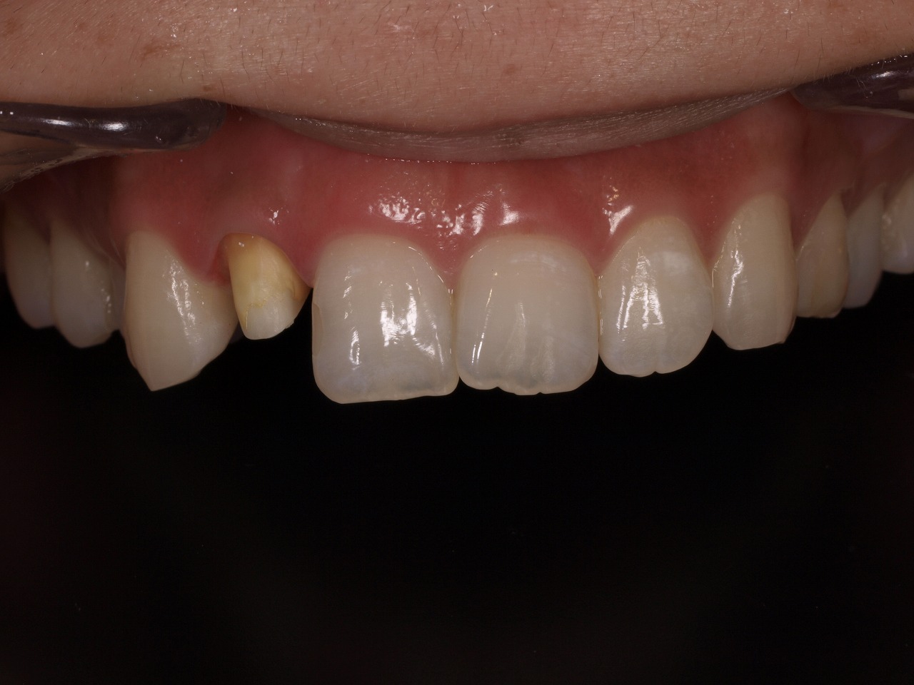
右上2番 神経がなく長い間変色が気になっていた|お知らせ |広島市安佐南区の歯科医院 右上2番 神経がなく長い間変色が気になっていた トップ お知らせ・ブログ お知らせ 右上2番 神経がなく長い間変色が気になっていた 右上2番 神経がなく長い間変色が気になっていた セラミック治療にてきれいにしたい 正面からも確かに気になります この被せを根の治療からやり直し、セラミックにて仕立てています 口腔内の情報を得ていきます 術前の色調も得ときます 技工士にこの口腔内の情報を正しく伝えれるかが大切です 形成しファイバーコアにて土台を立て直しています オールセラミックにて作成しています 院長が焼き上げステイン法にて作成しています このセラミックはステイン法にて作成しています Web診療予約 初めての方へ 選ばれ続ける理由 院内設備について 歯が痛いしみる一般歯科 歯がぐらぐらする歯周病 健康な歯を保ちたい予防歯科 子供の虫歯予防をしたい小児歯科 銀歯をセラミックに審美歯科 白い歯を目指しませんか?ホワイトニング 矯正専門医がいるので安心矯正歯科 抜けた歯を補いたいインプラント・入れ歯 医院案内 スタッフ紹介 メリィハウス歯科クリニックオフィシャルホームページ ラベンダー歯科クリニックオフィシャルホームページ お知らせ・ブログ ホーム 診療科目 一般歯科 歯周病治療 予防治療 小児歯科 審美治療 ホワイトニング 矯正歯科 入れ歯・インプラント マウスピース矯正 初めての方へ 院長・スタッフ 設備紹介 医院案内・アクセス メニューを閉じる