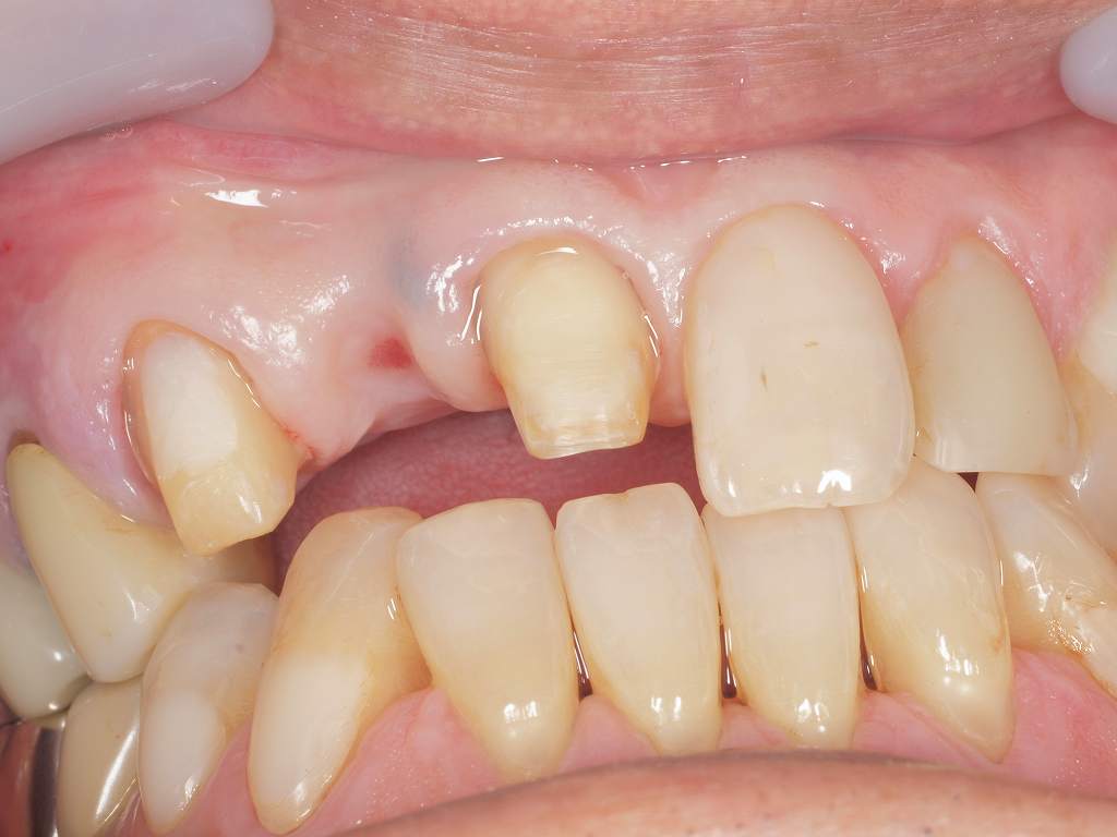
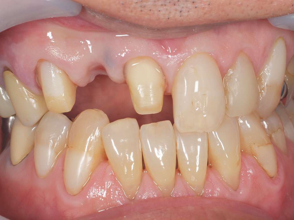
ジルコニアブリッジ臨床 右上2番が割れて2か月前に抜歯|お知らせ |広島市安佐南区の歯科医院 ジルコニアブリッジ臨床 右上2番が割れて2か月前に抜歯 トップ お知らせ・ブログ お知らせ ジルコニアブリッジ臨床 右上2番が割れて2か月前に抜歯 ジルコニアブリッジ臨床 右上2番が割れて2か月前に抜歯 仮歯を外し型取りをしていきます 傷口がまだ感じますがオベイド型の仮歯を入れていきました シェード合わせをしていきます どのような色合いかを技工士に伝えていきます 咬合関係も補綴物のクリアランスの問題からも記録していきます 出来上がった補綴物を合わせていきます 本当にきれいに仕上がりました 咬合関係もいいです 側方からも歯がないのがわかりにくく出来上がりました Web診療予約 初めての方へ 選ばれ続ける理由 院内設備について 歯が痛いしみる一般歯科 歯がぐらぐらする歯周病 健康な歯を保ちたい予防歯科 子供の虫歯予防をしたい小児歯科 銀歯をセラミックに審美歯科 白い歯を目指しませんか?ホワイトニング 矯正専門医がいるので安心矯正歯科 抜けた歯を補いたいインプラント・入れ歯 医院案内 スタッフ紹介 メリィハウス歯科クリニックオフィシャルホームページ ラベンダー歯科クリニックオフィシャルホームページ お知らせ・ブログ ホーム 診療科目 一般歯科 歯周病治療 予防治療 小児歯科 審美治療 ホワイトニング 矯正歯科 入れ歯・インプラント マウスピース矯正 初めての方へ 院長・スタッフ 設備紹介 医院案内・アクセス メニューを閉じる