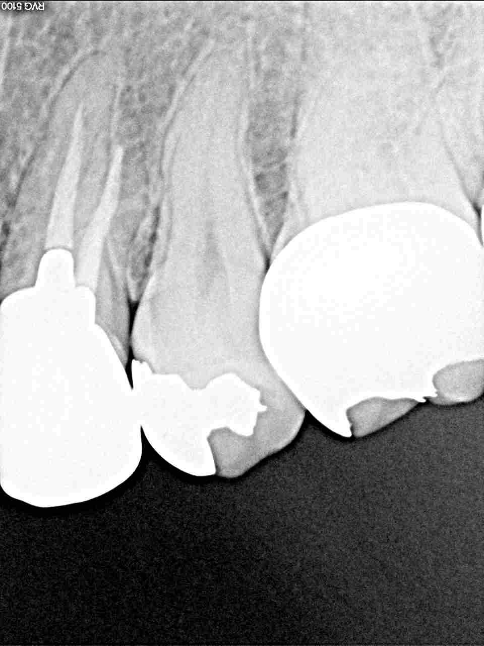
左上5番の銀歯を外して虫歯治療をしていきます |お知らせ |広島市安佐南区の歯科医院 左上5番の銀歯を外して虫歯治療をしていきます トップ お知らせ・ブログ お知らせ 左上5番の銀歯を外して虫歯治療をしていきます 左上5番の銀歯を外して虫歯治療をしていきます 銀歯の下が黒いです 虫歯の存在が疑われます レントゲンでも銀歯の境が隙間が空いています 銀歯を外していきました 虫歯が存在しています CRにて覆罩後、型取りを行いセラミックを入れていきました きれいに仕上がりました Web診療予約 初めての方へ 選ばれ続ける理由 院内設備について 歯が痛いしみる一般歯科 歯がぐらぐらする歯周病 健康な歯を保ちたい予防歯科 子供の虫歯予防をしたい小児歯科 銀歯をセラミックに審美歯科 白い歯を目指しませんか?ホワイトニング 矯正専門医がいるので安心矯正歯科 抜けた歯を補いたいインプラント・入れ歯 医院案内 スタッフ紹介 メリィハウス歯科クリニックオフィシャルホームページ ラベンダー歯科クリニックオフィシャルホームページ お知らせ・ブログ ホーム 診療科目 一般歯科 歯周病治療 予防治療 小児歯科 審美治療 ホワイトニング 矯正歯科 入れ歯・インプラント マウスピース矯正 初めての方へ 院長・スタッフ 設備紹介 医院案内・アクセス メニューを閉じる