オールセラミックブリッジの実際 前歯部ではオールセラミックが条件がそろえば1番きれいに仕上がるかと思います
オールセラミックブリッジの実際 前歯部ではオールセラミックが条件がそろえば1番きれいに仕上がるかと思います

ブリッジの支台歯形成をしています

このように歯がないところは少し歯肉の退縮をきたしています

頬側の骨がなくなり幅が減少しています

支台歯の動揺もなくブリッジを入れていきます


オールセラミックにて仕上げると光に対して明るく見える
のがわかるでしょうか?


いかにきれいに見えるかが自費のブリッジのカギになります


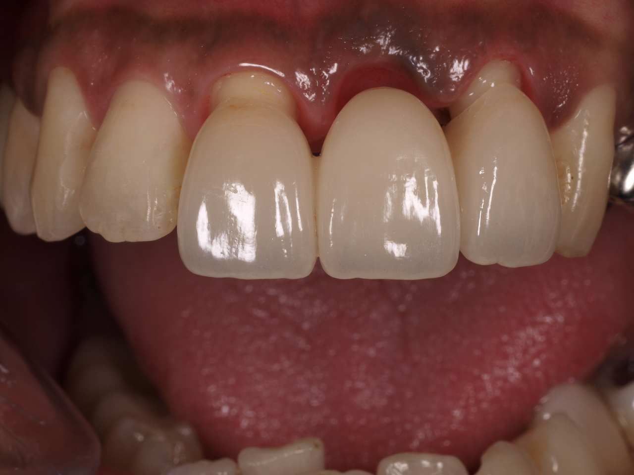
口腔内にて装着したところになります


ブリッジだと(歯がない)とわからなければ喜んでいただけます
きれいに仕上がりました




























