右上乳歯が抜けて永久歯が先天性欠如 保険治療で接着性ブリッジの実際
右上乳歯が抜けて永久歯が先天性欠如 保険治療で接着性ブリッジの実際

乳歯が抜けてしまい来院
20代女性

歯がなくなり何とかしてほしい

隙間としては小さいです

抜けた面影もあります


接着性ブリッジを作成しました


口腔内にて合わせていきました
咬合に問題なければある程度もちはいいかと思います


保険治療にてこのような処置もあります
外見からは分かりにくいです
ジルコニアにてもこのようにできます


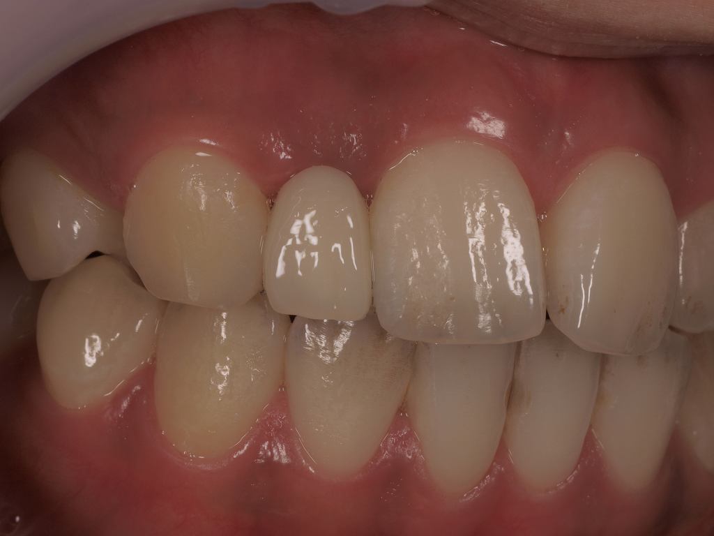
口腔内にてこのような状態となります

乳歯が抜けてしまい来院
20代女性

歯がなくなり何とかしてほしい

隙間としては小さいです

抜けた面影もあります


接着性ブリッジを作成しました


口腔内にて合わせていきました
咬合に問題なければある程度もちはいいかと思います


保険治療にてこのような処置もあります
外見からは分かりにくいです
ジルコニアにてもこのようにできます


口腔内にてこのような状態となります