右下6番インプラント部の上部構造を作成していきます アバットメントはチタンにてカスタムオーダーにて作成し、被せはセレックオールセラミックにて作成しています
右下6番インプラント部の上部構造を作成していきます アバットメントはチタンにてカスタムオーダーにて作成し、被せはセレックオールセラミックにて作成しています

インプラント埋入後2か月になります
抜歯即時インプラント埋入のため抜歯してから2か月ということになります

このように傷がいえています
きれいに治ってきています

口蓋側寄りにしっかりと5㎜の11,5㎜というインプラントを埋入
しています

アバットメントと呼ばれる土台を立てていきました


金属が酸化しないように同種金属にて立ち上げています


セレックオールセラミックにて上部構造を作成しています
汚れがセラミックはつきにくいのとジルコニアのように割れない
マテリアルよりも、過大な咬合圧にて割れてブレーキがかかるオールセラミックをインプラントには採用しています
何十年ももつ装置がゆえにそのように作成しています


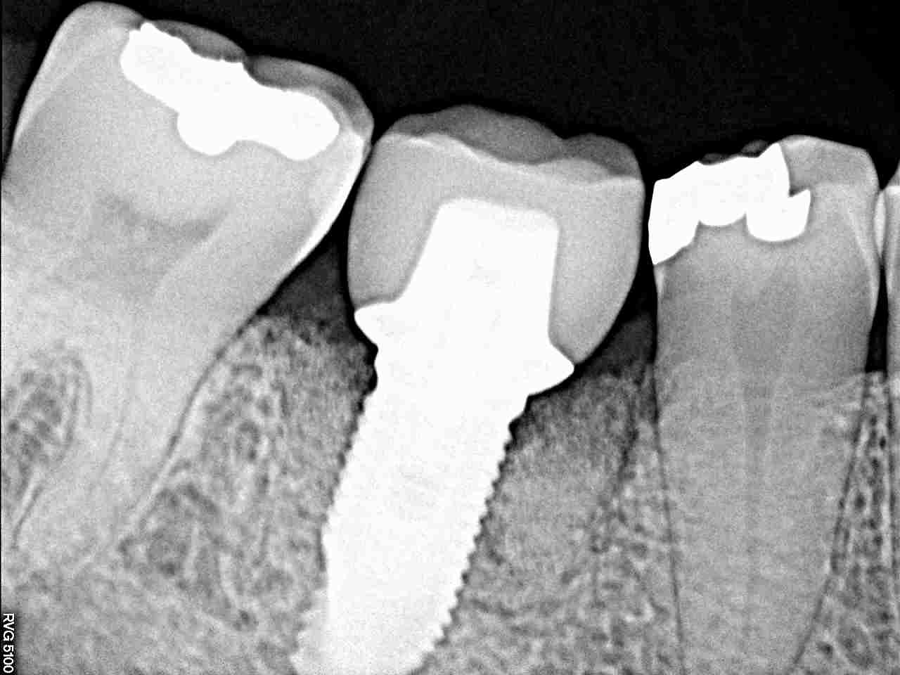
デンタルレントゲンにて
抜歯即時とは言え治療期間も抜歯して3ケ月以内
しっかりとしたインプラントが入ったと思います


1年後になります
変わらずの色調、マージンの位置を保っています




























