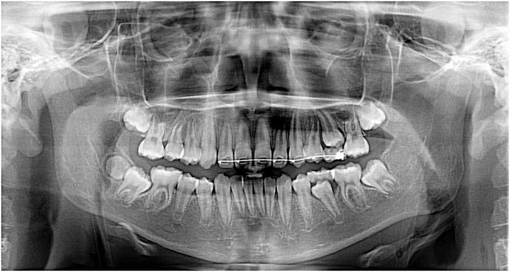
親知らずの早期形成により下顎7番が萌出してこなくなったケース 親知らず抜歯後は早期に萌出してきました
親知らずの早期形成により下顎7番が萌出してこなくなったケース 親知らず抜歯後は早期に萌出してきました

早くからの矯正の患者さんのケースになります

装置を混合歯列の段階から付けていきます

側方歯郡が萌出してきてります

右下7番が萌出してこないのが、親知らずが原因とのことで
抜歯の依頼が来ました


抜歯とともに、一応けん引のことも考え装置を付けていますが
すぐに萌出してきました

親知らずの抜歯は大きく開け、骨を開削して行うものですが、
無事に抜歯しています




























