前歯部6本 バイトアップからのセラミッククラウンにて審美修復を行いました
前歯部6本 バイトアップからのセラミッククラウンにて審美修復を行いました

上の前歯が下の歯によって摩耗してしまい本来の歯の形態を損ねてしまっています

逆被蓋にもなっててこれをセラミックにてきれいにできないかと来院されました

これを治すにはかみ合わせを上げるため奥歯のブリッジも外して
前歯も6本セラミックにしなければならにとお伝えしています

上顎全額治療が必要と考えました


奥歯を一気に仮歯にてバイトアップを行い、前歯部はCR樹脂にて
形態修正を行い、形を診てもらって仮歯に置き換えていきます


上を仮歯に置き換えています


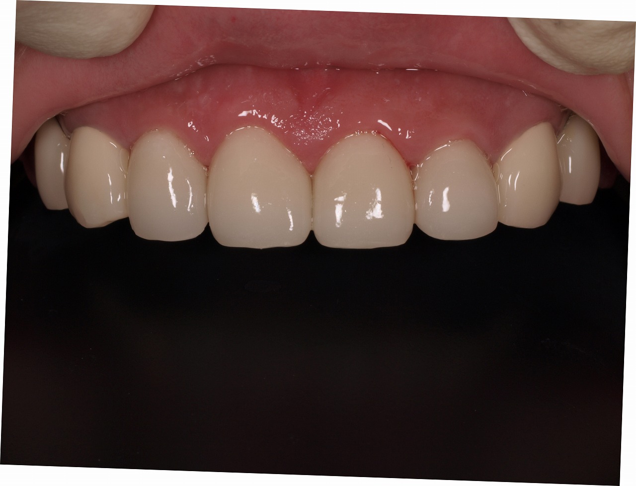
前歯6本をセラミックにて修復し奥歯は保険治療にて修復しています


前歯部もきれいに仕上がっています
オールセラミックにて仕上げています




























