歯のホワイトニングの実際 オフィスブリーチにて歯を上の前歯のセラミックに合わせてきれいに仕上げていきます
歯のホワイトニングの実際 オフィスブリーチにて歯を上の前歯のセラミックに合わせてきれいに仕上げていきます

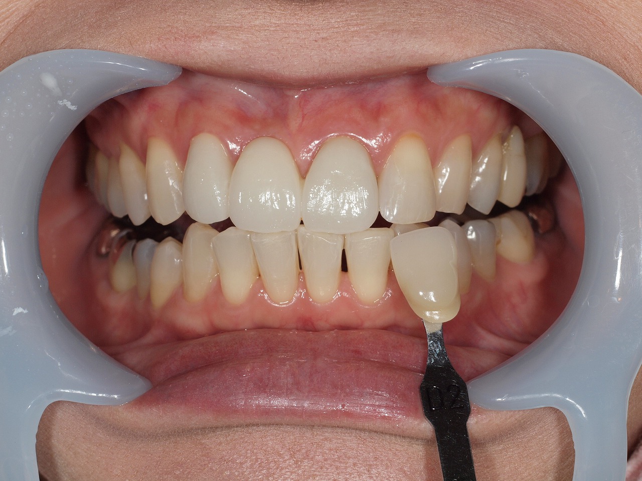
上の前歯が3本セラミックが入っています

これに近ずけるべくほかの歯をオフィスブリーチングを行っていきます

最初の歯のシェードを記録していきます

下顎も現在はどんな色合いだったかを診ていきます


まずは情報収集から始めこのくらいまでは白くできることを
患者さんにお話をし、行っていきます


焼く辞意を使って歯の色をきれいな明るい色にしています


2回目のオフィスブリーチングになります


再度薬剤を時間をかけてきれいな白い歯にしていきます
2回か3回できれいにしていきます




























