左下の奥歯が昨日から突如、痛みだしてきた 寝れないほどの痛み 診てほしい
左下の奥歯が昨日から突如、痛みだしてきた 寝れないほどの痛み 診てほしい

白いCR樹脂にて修復がなされているこの歯が原因かと思われました
ひどい打診痛がありました

麻酔をかけて樹脂を外していくと中から黒い虫歯が出てきました

神経に虫歯が達していました

このように根の治療を行なっています


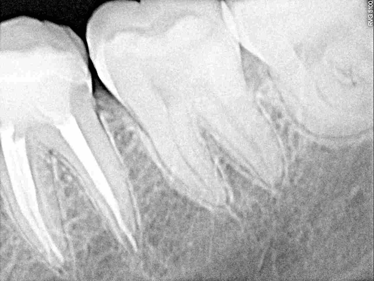
根充後のレントゲンになります
先までしっかりと薬を詰めています


CR樹脂にて土台を立ててセラミックの型取りを行っています


このようにきれいな歯に仕上がりました




























