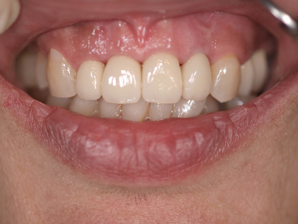
インプラント埋入後、3か月になります インプラント補綴の最終段階になります
インプラント埋入後、3か月になります インプラント補綴の最終段階になります

抜歯即時インプラント埋入を行っているため、
歯を抜いての歯肉の落ち込みもありません

このように固まってきています

歯肉形態を付与することが前歯部のインプラントでは
大切なところになります

左側方から


カスタムアバットメントを立てていきました


最終補綴はジルコニアクラウンにて仕上げています


このようにきれいに仕上がりました


どれがインプラントかわかりにくく仕上がっているかと思います




























