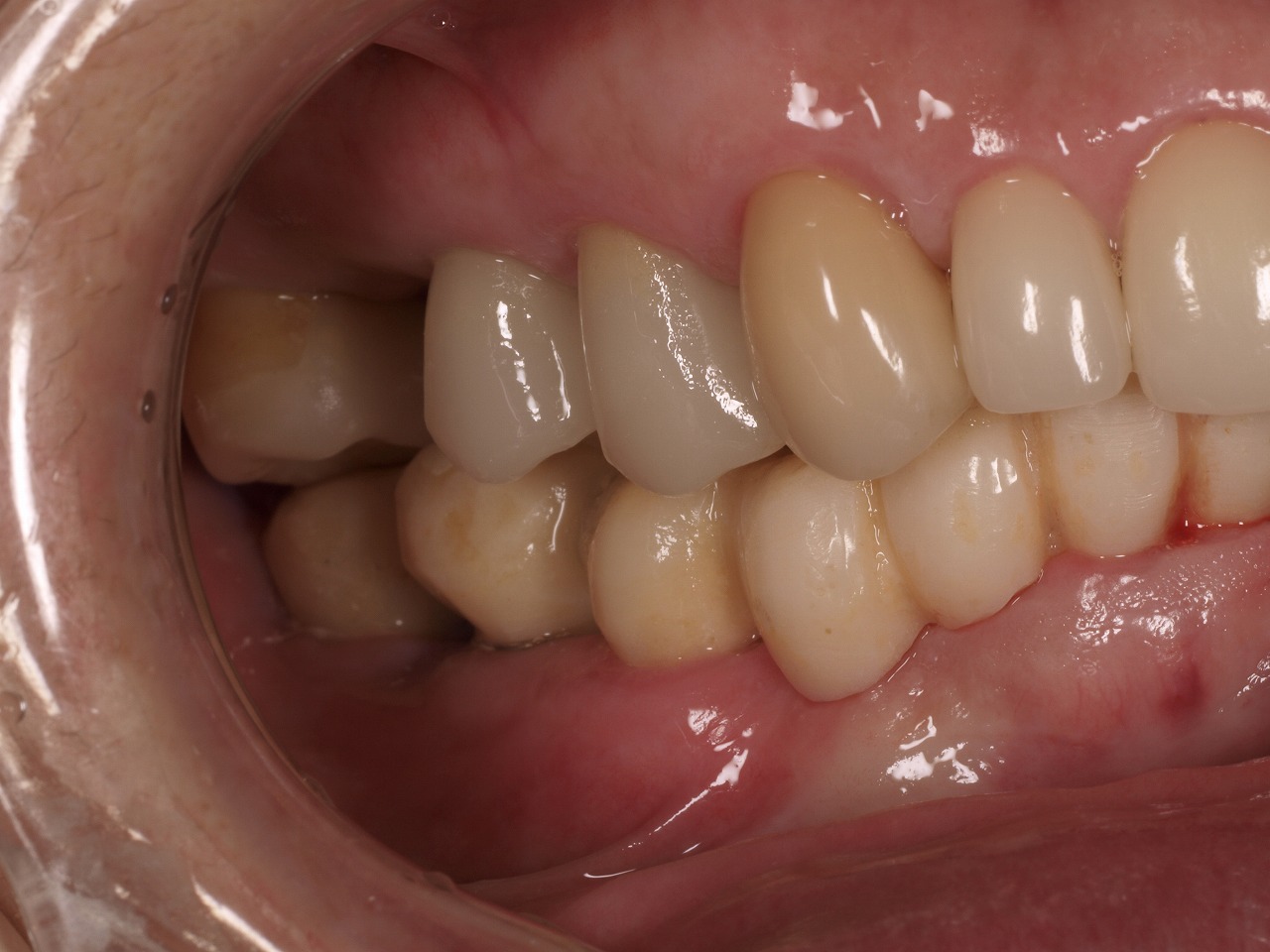
フルマウスリコンストラクション 全顎的にはにきれいに仕上げていきます|お知らせ |広島市安佐南区の歯科医院 フルマウスリコンストラクション 全顎的にはにきれいに仕上げていきます トップ お知らせ・ブログ お知らせ フルマウスリコンストラクション 全顎的にはにきれいに仕上げていきます フルマウスリコンストラクション 全顎的にはにきれいに仕上げていきます 前歯部も形成しています 前に倒れている歯もありました、、、、、 単冠にて仕上げていきます 下は仮歯になります 側方から 上顎前歯は単冠でセレックを入れています 被蓋関係もこんな感じになります 上顎もすべてセレックにて単冠仕上げ 下顎は左下以外はまだ仮歯になります 最終補綴が入ったところになります Web診療予約 初めての方へ 選ばれ続ける理由 院内設備について 歯が痛いしみる一般歯科 歯がぐらぐらする歯周病 健康な歯を保ちたい予防歯科 子供の虫歯予防をしたい小児歯科 銀歯をセラミックに審美歯科 白い歯を目指しませんか?ホワイトニング 矯正専門医がいるので安心矯正歯科 抜けた歯を補いたいインプラント・入れ歯 医院案内 スタッフ紹介 メリィハウス歯科クリニックオフィシャルホームページ ラベンダー歯科クリニックオフィシャルホームページ お知らせ・ブログ ホーム 診療科目 一般歯科 歯周病治療 予防治療 小児歯科 審美治療 ホワイトニング 矯正歯科 入れ歯・インプラント マウスピース矯正 初めての方へ 院長・スタッフ 設備紹介 医院案内・アクセス メニューを閉じる