前歯が真横に向いて生えてきた診てほしい 90度以上確かに真横に向いて生えてきていました
前歯が真横に向いて生えてきた診てほしい 90度以上確かに真横に向いて生えてきていました

このように放出する理由は何かあるはずです

正面から見ても何とかしないと、、、、
と思える歯になります

デンタルレントゲンにて原因がわかります
逆性の過剰歯が存在していることで歯が放出段階で真横を向いてしまったようです

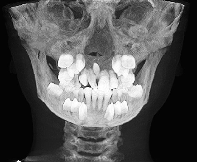
CTを取りました


顎骨のほぼほぼ中央に存在しています


抜歯時になります
大きな穴が開きました
酷い出血もありません


縫合して終了したところになります


きれいに抜歯できています




























