フルマウスのリコンストラクション 咬合再構成 保険治療 50代後半男性 歯が動揺したり、ところどころ欠損すると最終的にはこのようになります
フルマウスのリコンストラクション 咬合再構成 保険治療 50代後半男性 歯が動揺したり、ところどころ欠損すると最終的にはこのようになります

ロングスパンのブリッジが出来上がりました

保険の歯ではこのようになります

口腔内になります
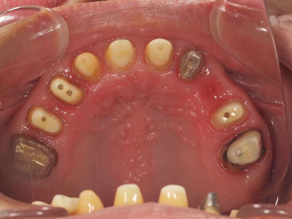
欠損歯もあり、動揺歯もあるとこのようにつなげていかなければ、歯は持ちません

口腔内の状態になります


被せを合わせていきました


側方面観
奥歯は銀歯になりますが、、、動揺歯をしっかり固定することで
長持ちしやすい補綴物となりました




























