左上の1番部 インプラント埋入から3か月待ちました 用部構造を作成していきます
左上の1番部 インプラント埋入から3か月待ちました 用部構造を作成していきます

仮歯の状態になります

ジルコニアアバットメントを建てていきました
もともとの歯が失活歯で咬合も過蓋咬合気味で、、これも破折につながったと考えます
60代なので矯正とかはないですが、、、

ジルコニアアバットメントもアイボリー色を選択

咬合面から


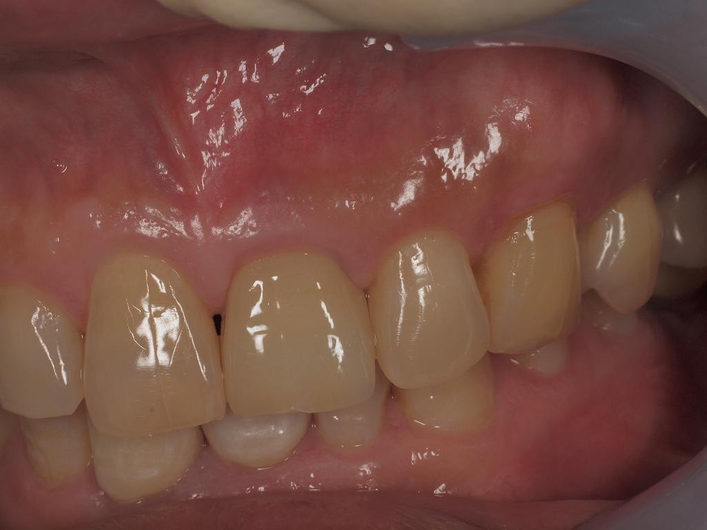
最終補綴時になります
ジルコニアクラウンいて仕上げています


天然歯よりも歯頚線ラインが抜歯しているにも関わらず下がっていないのが良いところかと
歯冠幅径をもう少し隅角を張り出させたりで同じにできたらよかったと思います


咬合面観


術前術後のパノラマになります




























