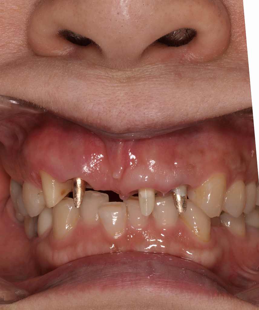
前歯部のブリッジが動く 診てほしい それと歯が長いのがもう少しどうにかならないか? 佐伯区と安佐南区の境にあるこころ団地内のこころ歯科クリニックの臨床現場
前歯部のブリッジが動く 診てほしい それと歯が長いのがもう少しどうにかならないか? 佐伯区と安佐南区の境にあるこころ団地内のこころ歯科クリニックの臨床現場

術前の口腔内になります

小帯もあるせいか右上の1番部の欠損部の歯が左上の1番部と比べて長いです

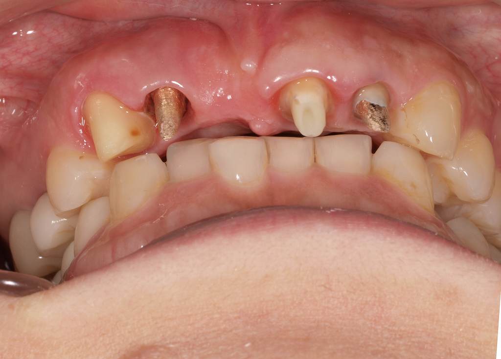
外して根管治療から行い印象時の口腔内になります
過蓋咬合が主な原因ともいえました

そのため以前より支台歯を増やすため右上の3暗部も削らしていただきブリッジの支台歯を増やしています
インプラントは無しでとのこと


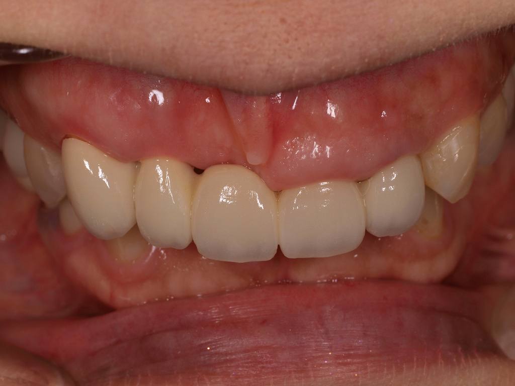
シェード合わせを行っていきます


作製した5本分のジルコニアブリッジになります


ポンティック部もオベイド型の食い込ませる形で作成しています
綺麗に仕上がり喜んでいただきました




























