40代女性 右上の3番部が先天性の未萌出 歯もグラグラしてきてインプラントがしたくて来院 佐伯区と安佐南区の境にあるこころ団地内のこころ団地内のこころ歯科クリニックの臨床現場|お知らせ |広島市安佐南区の歯科医院
40代女性 右上の3番部が先天性の未萌出 歯もグラグラしてきてインプラントがしたくて来院 佐伯区と安佐南区の境にあるこころ団地内のこころ団地内のこころ歯科クリニックの臨床現場
40代女性 右上の3番部が先天性の未萌出 歯もグラグラしてきてインプラントがしたくて来院 佐伯区と安佐南区の境にあるこころ団地内のこころ団地内のこころ歯科クリニックの臨床現場

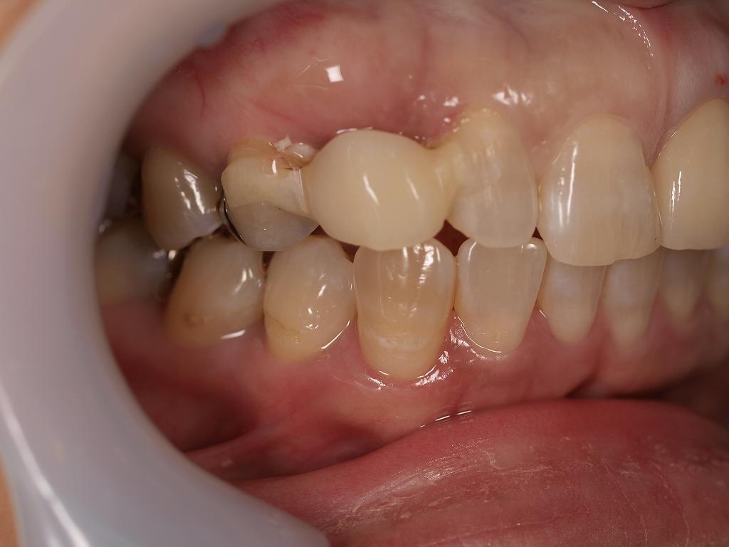
術前の口腔内
乳歯をそのまま使ってきていました

骨内に歯がほとんど埋まっていなく後継永久歯もありません

術前のCTになります

これより抜歯即時インプラント埋入をおこなっていきます


術中のCTになります


インプラント埋入時になります


仮歯からプロビジョナルを入れていったところになります


印象時になります
歯肉形態も仕上がっています




























