左上の3本インプラントによる機能回復 広島市の佐伯区と安佐南区の境にあるこころ団地内のこころ歯科クリニックの左上の3本インプラントを用いた4番かえあ7番までのブリッジケース|お知らせ |広島市安佐南区の歯科医院
左上の3本インプラントによる機能回復 広島市の佐伯区と安佐南区の境にあるこころ団地内のこころ歯科クリニックの左上の3本インプラントを用いた4番かえあ7番までのブリッジケース
左上の3本インプラントによる機能回復 広島市の佐伯区と安佐南区の境にあるこころ団地内のこころ歯科クリニックの左上の3本インプラントを用いた4番かえあ7番までのブリッジケース

術前のパノラマになります

術中のパノラマになります

術後のパノラマになります

4番部のCTになります


術中、術後のCTになります
最小限の骨造成を行っています


7番部の術前、術後のCTになります


術後のCTになります


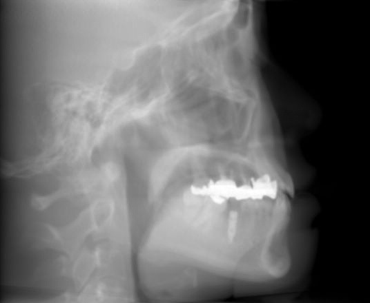
セファロになります




























