右上の2番部が破折 抜歯によりインプラントかブリッジか 今回はブリッジを選択 佐伯区にほど近いこころ歯科クリニックの右上の1番から3番までのジルコニア審美ブリッジの臨床例|お知らせ |広島市安佐南区の歯科医院
右上の2番部が破折 抜歯によりインプラントかブリッジか 今回はブリッジを選択 佐伯区にほど近いこころ歯科クリニックの右上の1番から3番までのジルコニア審美ブリッジの臨床例
右上の2番部が破折 抜歯によりインプラントかブリッジか 今回はブリッジを選択 佐伯区にほど近いこころ歯科クリニックの右上の1番から3番までのジルコニア審美ブリッジの臨床例

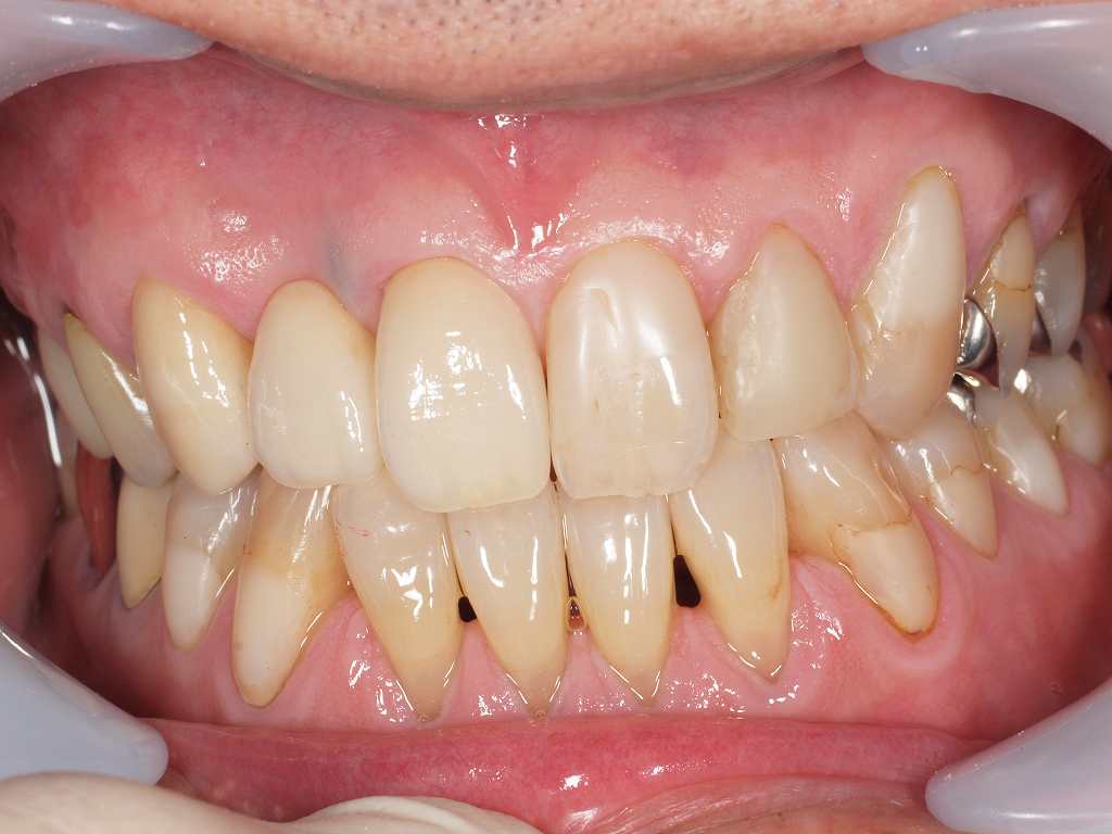
問題の歯になります
抜歯と同時に支台歯形成を行い、仮歯を入れて傷口の治癒を待ちました

印象時になります

抜歯と同時にオベイド型のポンティック部に仕上げています

シェード合わせを行っていきます


作製したジルコニアクラウンになります


かなりの精度にてきれいに仕上がっているかと思います


綺麗に仕上がりました




























