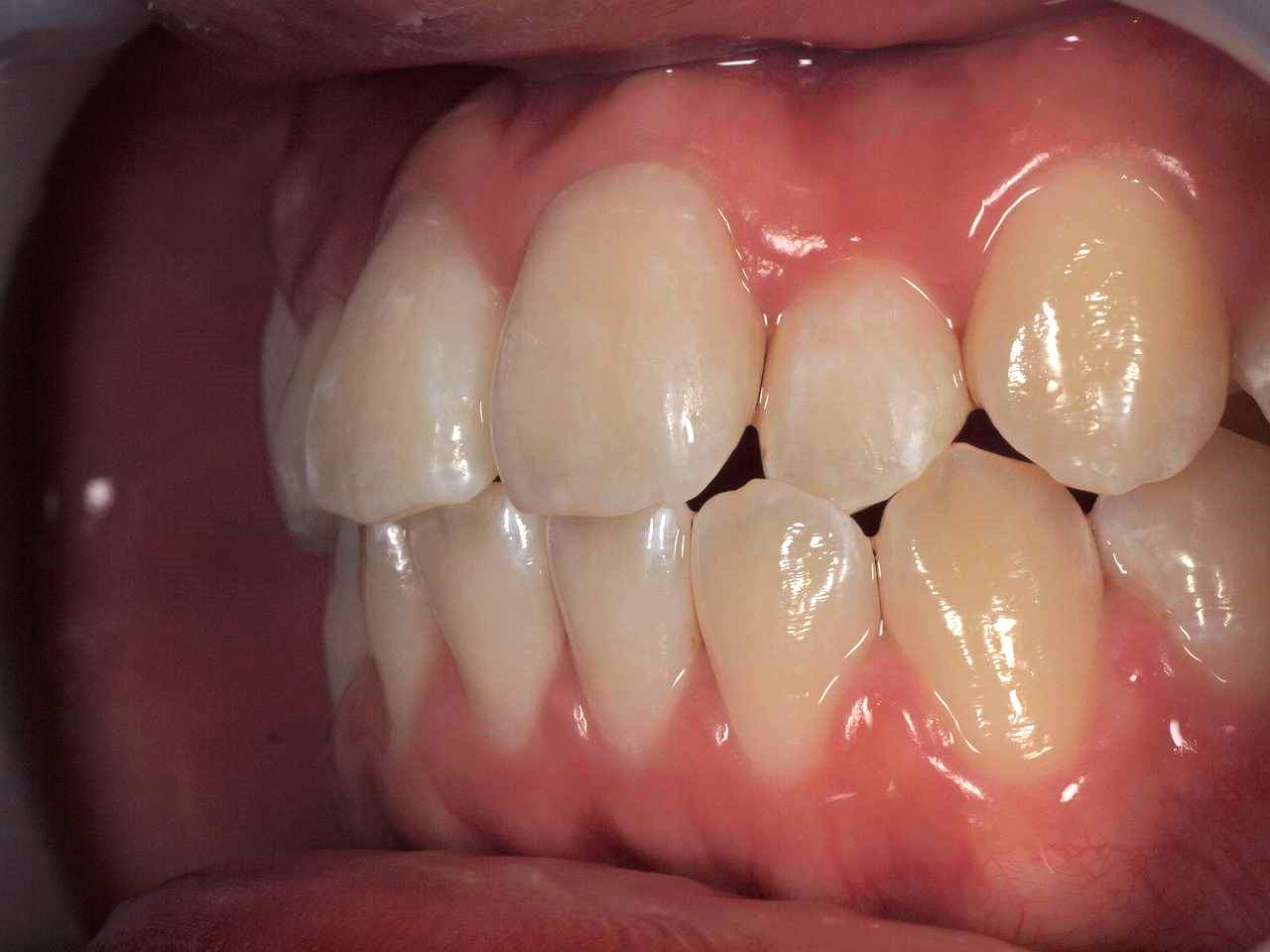
歯の色が変わるかどうかのタイミングで根管治療をおこなっていきます|お知らせ |広島市安佐南区の歯科医院 歯の色が変わるかどうかのタイミングで根管治療をおこなっていきます トップ お知らせ・ブログ お知らせ 歯の色が変わるかどうかのタイミングで根管治療をおこなっていきます 歯の色が変わるかどうかのタイミングで根管治療をおこなっていきます 1か月半の状態になります わずかに色が変わりつつあります 無麻酔で根管治療をおこなっていきます 根管内の神経は死んできていました 根充後になります CR樹脂にて土台を建てつつ修復していきます 3か月たつと固定装置も外していきました 最終状態になります しっかりと歯が引っ付きました Web診療予約 初めての方へ 選ばれ続ける理由 院内設備について 歯が痛いしみる一般歯科 歯がぐらぐらする歯周病 健康な歯を保ちたい予防歯科 子供の虫歯予防をしたい小児歯科 銀歯をセラミックに審美歯科 白い歯を目指しませんか?ホワイトニング 矯正専門医がいるので安心矯正歯科 抜けた歯を補いたいインプラント・入れ歯 医院案内 スタッフ紹介 メリィハウス歯科クリニックオフィシャルホームページ ラベンダー歯科クリニックオフィシャルホームページ お知らせ・ブログ ホーム 診療科目 一般歯科 歯周病治療 予防治療 小児歯科 審美治療 ホワイトニング 矯正歯科 入れ歯・インプラント マウスピース矯正 初めての方へ 院長・スタッフ 設備紹介 医院案内・アクセス メニューを閉じる