前歯部の開口の問題による臼歯部負担を軽減するために、、、60歳ということもあって補綴にて仕上げていきます
前歯部の開口の問題による臼歯部負担を軽減するために、、、60歳ということもあって補綴にて仕上げていきます

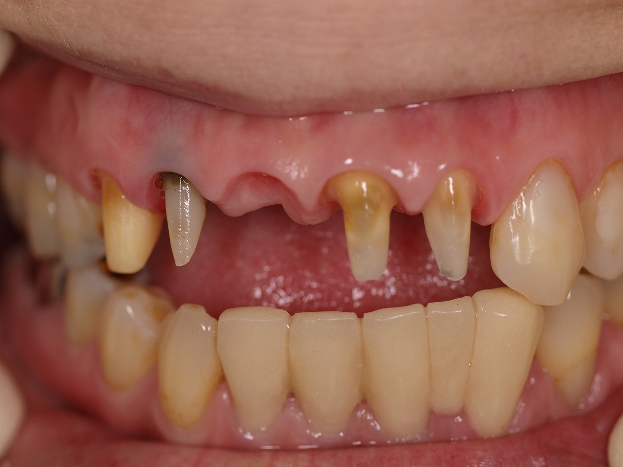
牽引終了し土台を建てていきました

歯茎の黒さも和らいでいます
2番部は弱いので右上の3番部も支台歯に加えています

これで仕上げてもその部分はきれいになりましたが、、、
下顎前歯部も補綴にして開口を前歯部負担に変えていくように提案しました

歯茎の黒いのはやわらぎました


下顎も仮歯に置き換えています


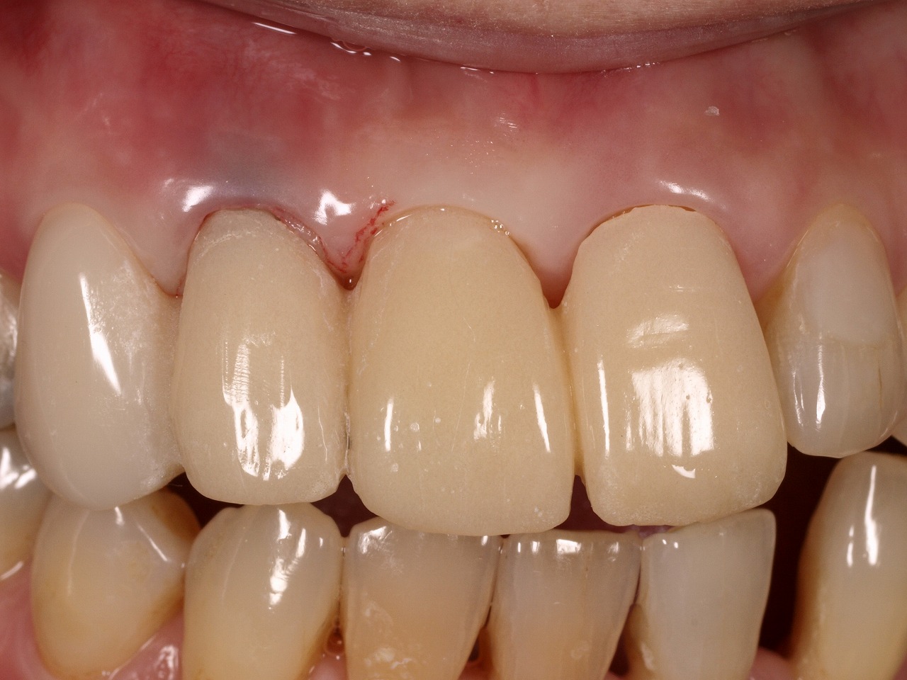
最終補綴になります


100点とわいかないですが、、、綺麗に仕上がりました




























