前歯部の4本と2本ジルコニア審美修復の臨床現場
前歯部の4本と2本ジルコニア審美修復の臨床現場

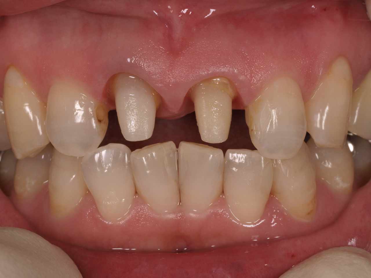
術前の口腔内になります
歯並びの問題もありますが、、、
審美的に被せにて綺麗にしたいとのこと

前歯部4本審美クラウン希望

印象時になります

作製したジルコニアクラウンになります
合わせていきます


綺麗に仕上がりました


前歯部2本の歯がいつも気になる
歯頚線があっていないですが、、、牽引も提案したが被せだけで何とかしたいとのこと
綺麗にしたい


印象時になります


少し暗い画像となってしまいましたが、、、
綺麗に仕上がりました




























