前歯部の3本 外傷により破折 序章後はレジンにて破折部位を処置 根管治療がされていました セレックセラミックによる審美修復治療
前歯部の3本 外傷により破折 序章後はレジンにて破折部位を処置 根管治療がされていました セレックセラミックによる審美修復治療

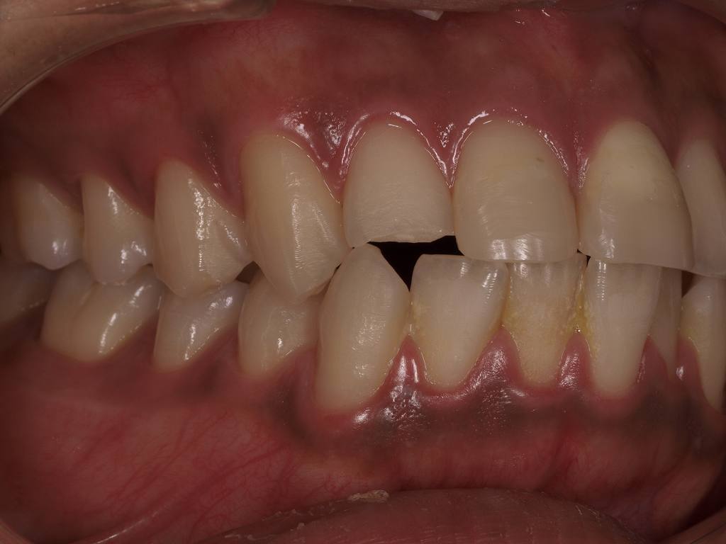
問題の歯になります

根管治療がなされていました

握上の2番部も破折

左側の咬合


根管治療後、支台歯形成を行いセレックセラミックにて仕上げていきます


シェード合わせになります


幾度となく焼成を行います


口腔内にて2本セラミックを合わせていきました
とてもきれいに仕上がりました




























