• ホーム
  • 診療科目
    • 一般歯科
    • 審美治療
    • 歯周病治療
    • ホワイトニング
    • 予防治療
    • 矯正歯科
    • 小児歯科
    • 入れ歯・インプラント
    • マウスピース矯正
    • 訪問歯科
  • 初めての方へ
  • 院長・スタッフ
  • 設備紹介
  • 医院案内・アクセス

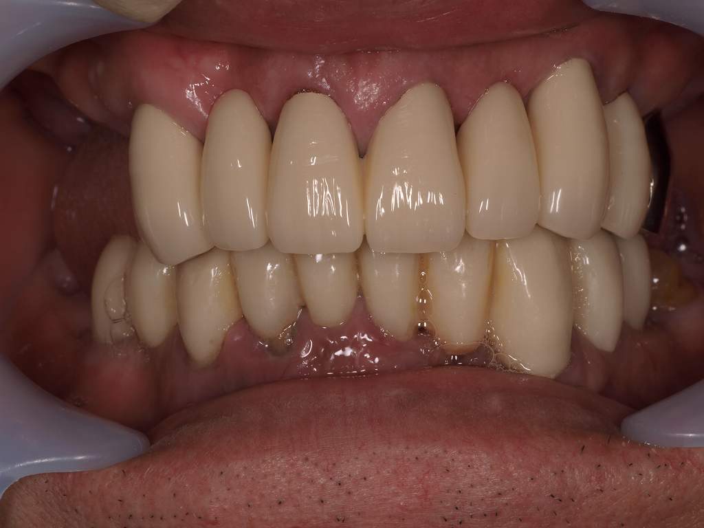
SET時の口腔内写真になります。  グラグラで抜歯も余儀なくされた歯もありますが、、もう一度咬合再構成を図りました。