矯正ではなくセラミック補綴にて歯並びを整えたい 補綴主導型歯列不正の改善
矯正ではなくセラミック補綴にて歯並びを整えたい 補綴主導型歯列不正の改善

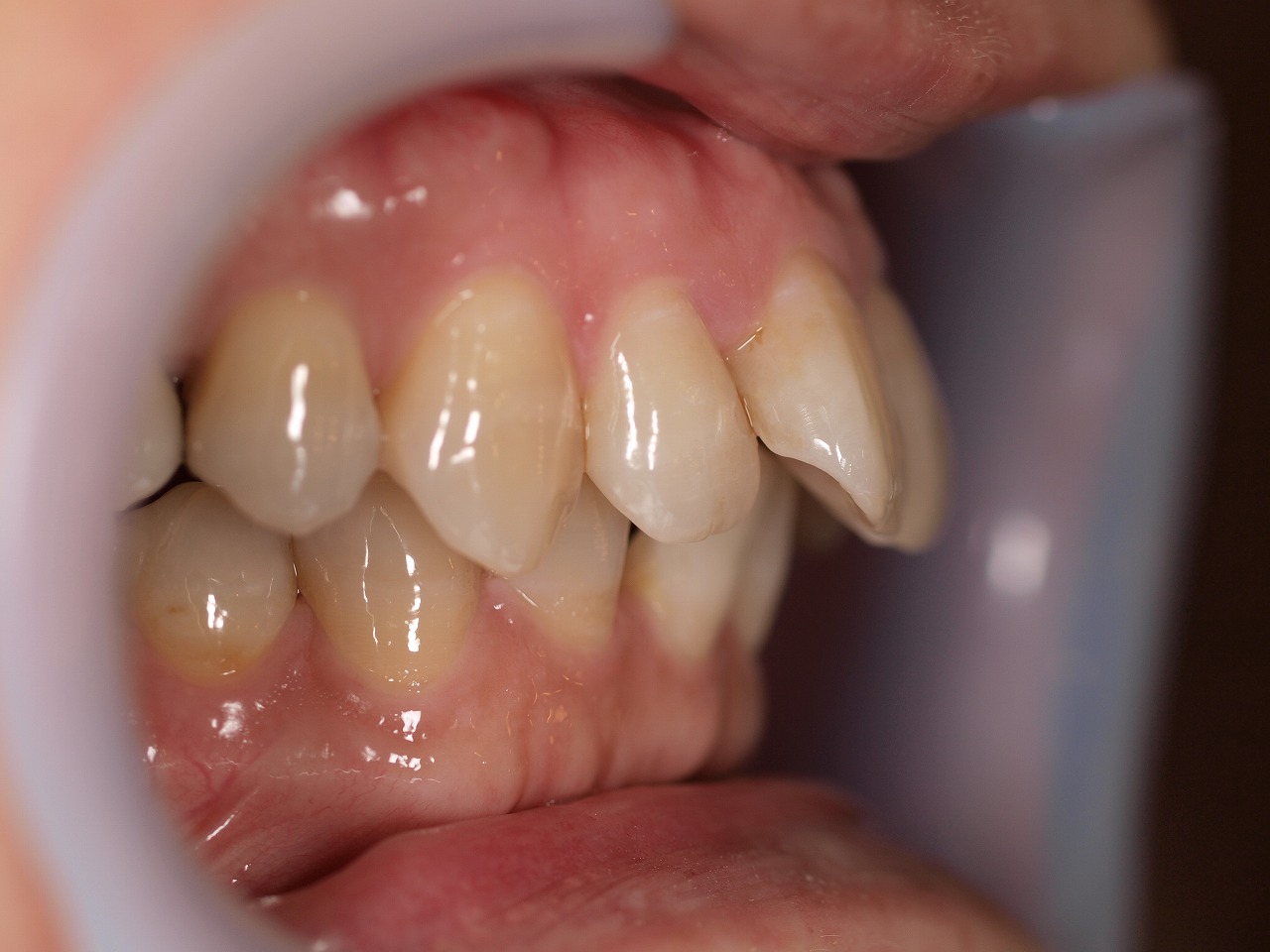
術前の口腔内になります
50代後半女性

下前歯の4本隙間と歯がちびてしまい形態にが気になる

上2本が極めて出っ歯
引っ込めたい

かなり出ています


下前歯4本を最小限にて支台歯形成を行っていきます


上顎の2本はこのように狭窄歯列からの出っ歯になってきていました


シェード合わせを行っていきます
上顎2本も最小限にて支台歯形成を行っていきました


支台歯形成ごになります
唇側面だけを神経に気を付けながら形成を行っています




























