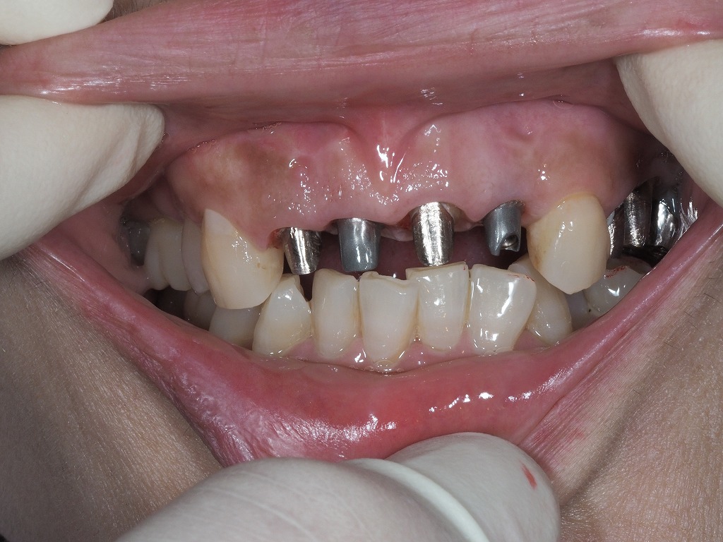
インプラント埋入からかか月が経ちました 2本のインプラントと2本の天然歯に最終ジルコニアクラウンを合わせていきます
インプラント埋入からかか月が経ちました 2本のインプラントと2本の天然歯に最終ジルコニアクラウンを合わせていきます

術前のパノラマになります

術後のパノラマになります

右上の1番部のCTになります
外科処置の既往もあり根尖病巣も大きく根管治療では治らないと判断

術後のCTになります


左上の2番部の術前のCTになります
パーフォレーションも酷く保存不能と判断


3か月たちこのように傷も癒えました


プロビジョナルを経てアバットメントを建てていきました


最終ジルコニアクラウンいて4前歯を仕上げています
抜歯を行って言ったにもかかわらず歯茎下がりもなく良好です
綺麗に仕上がり喜んでいただきました




























