交通事故にて前歯が外傷 当時、歯の固定は歯医者にて行っていただいたとのこと 前歯部のインプラント治療
交通事故にて前歯が外傷 当時、歯の固定は歯医者にて行っていただいたとのこと 前歯部のインプラント治療

問題の歯になります

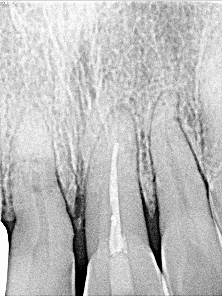
デンタルレントゲンになります
このレントゲンでは分かりにくいのですが、、、
右上1番部が骨内にて根が破折しています

右上の1番部はかなり転出していました

右上の2番部も被せが外れかかっていました


まずは右上の2番部から根管治療から行っていきました


土台を立てて仮歯を2本用意して1番部を見ていきました


2番部は根管治療から行い1番部を見ていきます
1番部は根尖を残して上が取れてきました
根尖部で折れていました


根尖部にて破折していました




























