セラミック治療のデメリットとは?後悔しないための注意点
公開日:
こんにちは。広島市安佐南区伴南の歯医者「こころ歯科クリニック」です。
近年、歯の見た目と健康の両面を意識する方が増え、審美歯科の分野ではセラミック治療が非常に人気を集めています。セラミックは天然の歯に近い美しさを持ち、金属アレルギーの心配もないことから、多くの患者さんが選択肢として検討する素材です。
しかし、見た目の美しさや清潔感ばかりに注目してしまうと、治療後に「思っていたのと違う」と感じてしまうケースも少なくありません。
セラミック治療には、たしかに多くのメリットが存在しますが、同時にデメリットも理解しておくことが大切です。後悔のない治療を受けるためには、メリットとデメリットを正しく理解したうえで、ご自身に合った治療法を選ぶことが重要です。
今回は、セラミック治療のメリットとデメリットについて詳しく解説します。治療後の後悔を防ぐために大切なことについても解説しますので、ぜひ参考にしてください。
セラミック治療とは

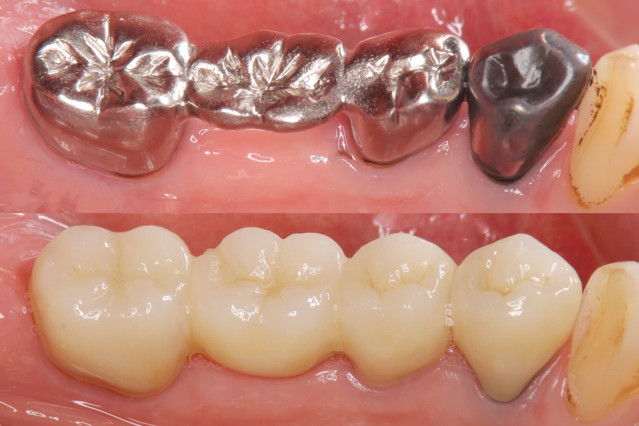
セラミック治療とは、虫歯の治療や欠けた歯を修復するの際に、金属ではなくセラミックと呼ばれる白い素材で作られた詰め物や被せ物を装着する治療法です。見た目が自然で、まるで自分の歯のように仕上がるのが大きな特徴です。
セラミックは光を通す性質があり、天然の歯と同じような透明感とツヤを再現できます。そのため、前歯など目立つ部分の治療でも、自然な印象を保つことができます。
また、オールセラミックやジルコニアといった種類は金属を一切使用していないため、金属アレルギーの心配がなく、身体に優しい素材としても人気です。見た目の美しさだけでなく、耐久性や清潔さにも優れているため、近年では多くの人がセラミック治療を選ぶようになっています。
さらに、経年による変色が少なく、長期間美しさを保てるという点でも人気があります。
一方で、保険が適用されず自費診療になることが一般的です。また、審美性だけでなく、機能性や耐久性も兼ね備えた素材ですが、適切なメンテナンスが必要な点も理解しておく必要があります。
セラミック治療のデメリット

ここでは、セラミック治療を検討する際に知っておきたいデメリットについて、具体的に解説していきます。
費用が高額になりやすい
セラミック治療のデメリットは、保険が適用されないため費用が高いことです。一般的に、1本あたりの治療費は5万円から15万円程度が相場とされています。選択する素材の種類や歯科技工士の技術、歯科医院の設備によっても金額は異なります。
また、セラミックの詰め物・被せ物は長期間使用できますが、万が一、破損や欠けが起こった際は再作製が必要です。作り直しが必要になると、再び高額な費用が発生するため、経済的な負担が大きい点は見逃せません。
割れることがある
セラミックは非常に硬い素材ですが、強い力が加わると欠けたり割れたりするリスクがあります。特に、歯ぎしりや食いしばりの癖がある人は注意が必要です。
破損すると修復が難しいため、作り直す必要があります。セラミックの歯を長持ちさせるためには、ナイトガードと呼ばれる専用のマウスピースを使用したり、噛み合わせの調整を定期的に受けたりすることが大切です。
歯を削る量が多くなる場合がある
セラミック治療では、被せ物や詰め物をしっかりと装着するために、歯を削る量が多くなることがあります。天然の歯を削るということは、歯の寿命を短くしてしまう可能性があるということです。
特に、歯の神経に近い部分まで削る必要がある場合は、治療後にしみる症状が出たり、神経を除去する処置が必要になったりすることもあります。
高い技術力が必要
セラミックの被せ物や詰め物を自然に仕上げるためには、歯科医師と歯科技工士の双方に高度な技術が求められます。歯の形態、噛み合わせ、色調の調整といった繊細な作業が必要であり、わずかな誤差でも違和感が出たり、破損の原因になったりすることがあるのです。
特に、接着の精度や形成の正確さが仕上がりの美しさと耐久性を大きく左右します。そのため、セラミック治療を検討する際は、経験豊富な歯科医師を選び、症例写真や実績を確認することが大切です。
セラミック治療のメリット

デメリットを理解したうえで、セラミック治療が選ばれる理由にも目を向けてみましょう。
審美性が高く自然な仕上がりになる
セラミック治療の大きなメリットは、まるで天然の歯のように自然で美しい見た目を再現できることです。セラミックは透明感があり、光の反射も天然の歯に近いため、口を開けたときに治療した部分が目立ちにくいのが特徴です。
特に前歯のように人から見えやすい部分では、自然な白さや質感が求められますが、セラミックなら違和感のない仕上がりが期待できます。また、時間が経っても変色しにくく、食べ物や飲み物による着色汚れも付きにくいため、美しさを長く保てます。
金属アレルギーの心配がない
金属の詰め物や被せ物では、長期間使用するうちに金属イオンが溶け出し、歯ぐきが黒ずんだり、アレルギー症状を引き起こしたりする場合があります。
一方で、セラミック治療で使用されるオールセラミックやジルコニアなどの素材には金属が使用されていません。そのため、金属アレルギーを持つ人でも安心して使用できます。セラミックは生体親和性が高く、口腔内環境にも優しい素材といえます。
汚れが付きにくい
セラミックは表面がとてもなめらかでツルツルしているため、プラーク(歯垢)や食べ物の汚れが付きにくいという特徴があります。そのため、虫歯や歯周病の再発リスクを減らす効果も期待できます。
また、コーヒーや紅茶、赤ワイン、タバコなどによる着色もしにくく、長期間きれいな白さを保つことができます。毎日の歯磨きや定期的なクリーニングをしっかり行えば、治療直後の美しさを長く維持することが可能です。
見た目の美しさだけでなく、衛生面でも優れているのがセラミックの大きなメリットです。
セラミック治療を後悔しないために大切なこと

ここでは、セラミック治療を検討する際に知っておくべき後悔しないためのポイントをご紹介します。
信頼できる歯科医院を選ぶ
セラミック治療の成功は、歯科医師と歯科技工士の技術に大きく依存します。そのため、治療実績が豊富で、丁寧なカウンセリングを行ってくれる歯科医院を選ぶことが重要です。
特に、症例写真を提示してくれるクリニックや、審美歯科に特化した歯科医院を選ぶことで、仕上がりのイメージが明確になります。
自分の生活習慣を見直す
セラミックの歯を長持ちさせるためには、日常の生活習慣を見直すことがとても大切です。
どんなに質の高いセラミックを使っても、使い方次第では割れたり欠けたりすることがあります。例えば、硬い食べ物を強く噛んだり、歯ぎしりや食いしばりの癖があったりすると、セラミックに大きな負担がかかり、破損の原因になることがあるのです。
また、セラミックと天然の歯の境目にはわずかな段差があるため、歯磨きが不十分だと虫歯が再発することもあります。毎日のブラッシングを丁寧に行い、定期的に歯科医院でクリーニングや噛み合わせのチェックを受けることが重要です。
費用と長期的なメリットを比較する
セラミック治療は、自費診療になるため費用が高く感じる方も多いでしょう。
しかし、実はセラミック治療は長期的に見るととてもコストパフォーマンスの高い治療なのです。というのも、銀歯やレジン(プラスチック)の詰め物は、数年経つと変色したり、劣化して隙間ができたりして、再治療が必要になることがよくあります。
対してセラミックは変色しにくく、表面がツルツルしているため汚れが付きにくいので、きれいな状態を長く保つことができます。さらに、セラミックは耐久性にも優れているため、しっかりお手入れをすれば10年以上使えるケースも少なくありません。
結果的に再治療の回数が減り、長い目で見ると費用を抑えることにもつながります。
まとめ

セラミック治療は、見た目の美しさと機能性を両立できる優れた治療法です。天然の歯のような自然な仕上がりで、変色しにくく、金属アレルギーの心配もないという点で、多くの人に選ばれています。
しかし、費用が高いことや、割れやすさ、そして歯科医師の技術によって結果が左右されるといったデメリットもあります。
後悔しないためには、セラミックのメリットだけでなくデメリットも理解し、ご自身のお口の状態やライフスタイルに合った治療法を選ぶことが大切です。
セラミック治療を検討されている方は、広島市安佐南区伴南の歯医者「こころ歯科クリニック」にお気軽にご相談ください。
当院は、患者様に分かりやすい丁寧な治療を意識して診療にあたっています。虫歯・歯周病治療をはじめ、小児歯科、入れ歯・インプラント治療、矯正治療、審美治療・ホワイトニングなど、幅広く診療しております。
当院のホームページはこちら、Web診療予約も受け付けておりますので、ぜひご活用ください。あわせて公式Instagramも更新しておりますので、ぜひチェックしてみてください。





