歯周病とはどんな病気?進行する前に知っておきたい基礎知識
公開日:
こんにちは。広島市安佐南区伴南の歯医者「こころ歯科クリニック」です。
近年、成人の多くが抱えているとされる歯周病は、気づかないうちに進行し、最終的には歯を失ってしまうこともある深刻な病気です。
虫歯はないけれど歯ぐきが腫れている、歯磨きをしたときに血が出るなどの症状がある方は、すでに歯周病のサインが現れている可能性があります。
今回は、歯周病とはどのような病気なのか解説します。歯周病の原因や症状、治療法、そして予防方法についても解説しますので、歯周病の症状にお悩みの方や歯周病を予防したいとお考えの方は、ぜひ参考にしてください。
歯周病とはどんな病気?

歯周病とは、歯と歯ぐきの間にたまった細菌が引き起こす慢性的な炎症性疾患です。
進行すると歯を支える骨(歯槽骨)が溶かされ、最終的には歯が抜け落ちることもあります。初期の段階では自覚症状が少なく、気づいたときには重度の状態にまで進行しているケースも少なくありません。
また、歯周病はお口の中だけの問題ではなく、糖尿病や心臓病、脳梗塞、誤嚥性肺炎、早産・低体重児出産など、全身の健康とも深く関係しています。そのため、歯周病の予防や早期治療は、健康寿命の延伸にもつながる重要な取り組みといえるでしょう。
歯周病の原因

歯周病の発症と進行には、細菌感染だけでなく、生活習慣や身体の状態も深く関わっています。
歯垢と歯石
歯周病の主な原因は、歯と歯ぐきの境目にたまる歯垢(プラーク)です。歯垢は細菌のかたまりで、食べかすを栄養源として繁殖し、歯ぐきに炎症を引き起こします。
この状態を放置すると、歯垢が硬化して歯石となり、さらに多くの細菌が付着しやすい環境が生まれます。歯石は歯ブラシでは取り除けず、専門的なクリーニングが必要です。歯垢と歯石を放置することが、歯周病の進行を招く大きな要因となります。
喫煙
喫煙は歯周病の発症リスクを高め、治療効果を妨げる重大な要因です。たばこに含まれるニコチンや有害物質は、歯ぐきの血流を悪化させ、免疫力を低下させます。その結果、細菌に対する防御力が弱まり、歯周病が進行しやすくなります。
また、喫煙者は歯ぐきからの出血などの症状が現れにくく、気づかないうちに重度の歯周病へ進行するケースも多く見られます。健康な口腔環境を保つためには、禁煙が非常に重要です。
食生活の乱れ
栄養バランスの崩れた食生活も、歯周病のリスクを高める要因のひとつです。
特に糖分の多い食事は、細菌のエサとなり、歯垢を増やす原因になります。また、ビタミンCやカルシウム、タンパク質が不足すると、歯ぐきや骨の健康が損なわれ、炎症が起こりやすくなります。
インスタント食品や加工食品も栄養の偏りを招きやすいため、歯周病を予防するためには食生活の見直しが欠かせません。
ストレス
精神的なストレスも、歯周病を悪化させる原因のひとつです。
強いストレスを受けると、体の免疫機能が低下し、細菌に対する抵抗力が弱くなります。また、ストレスによって唾液の分泌量が減少し、口腔内の自浄作用が低下することで、細菌が増殖しやすくなります。
歯ぎしり・食いしばり
歯ぎしりや食いしばりといった無意識の習慣は、歯や歯周組織に強い圧力を加え、歯周病の進行を早める要因になります。これらのクセは睡眠中に起こることが多く、自分では気づきにくいため、歯ぐきの異常や歯のぐらつきが見られる場合は注意が必要です。
歯科医院では、歯ぎしりによるダメージを軽減するために、専用のマウスピースを装着するなどの治療を提案することがあります。早期の対応が、歯を守るカギになります。
歯周病の症状

歯周病は初期症状が軽いため見過ごされがちですが、進行するにつれてさまざまな不快な症状が現れます。
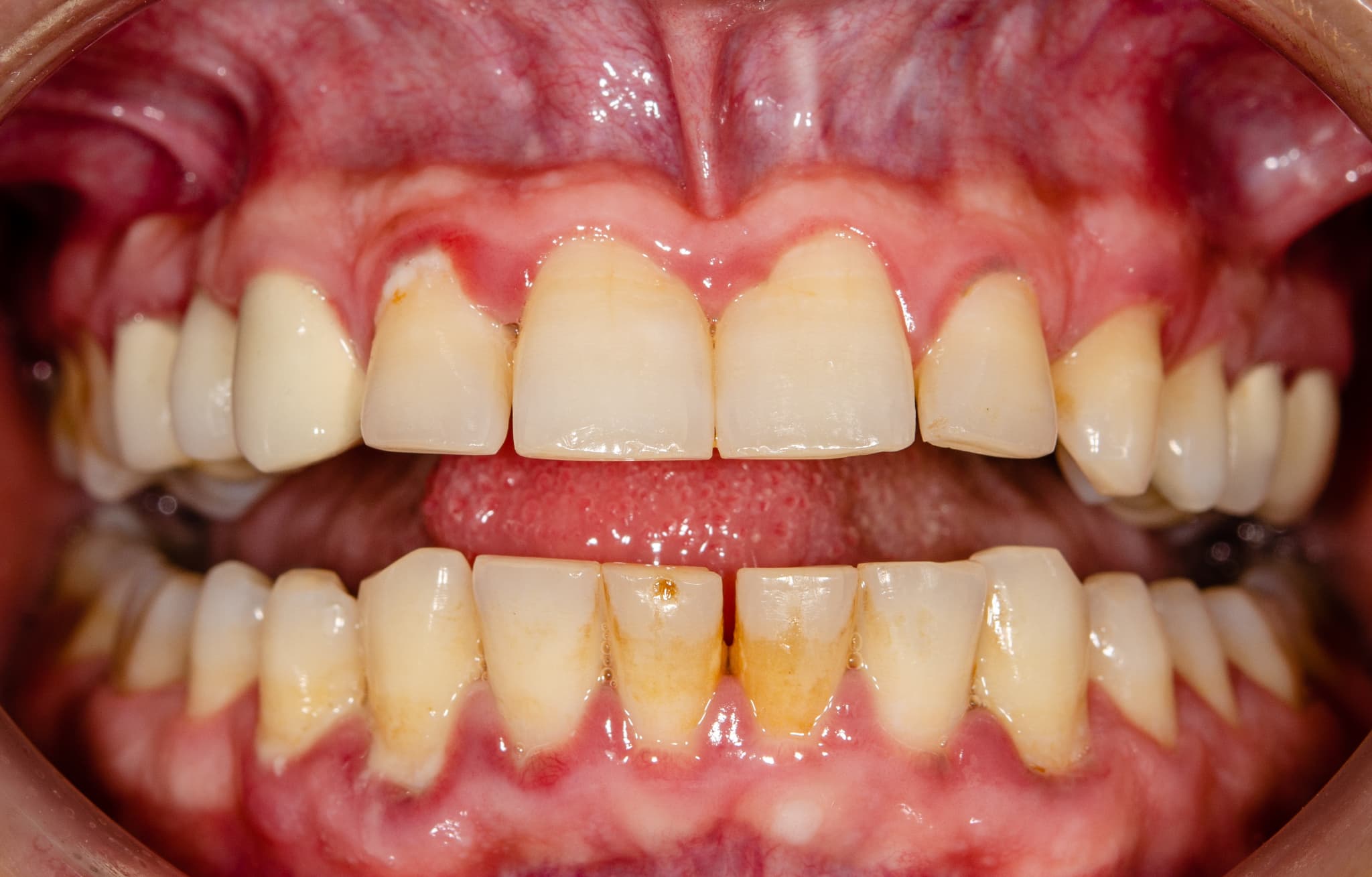
歯ぐきの腫れと出血
歯周病の初期症状として最も多いのが、歯ぐきの腫れや出血です。歯垢がたまり、細菌によって歯ぐきが炎症を起こすと、歯ブラシが軽く触れただけでも出血しやすくなります。健康な歯ぐきは引き締まっており、通常は出血しません。
出血をちょっとしたことと見過ごすのではなく、歯周病のサインと捉えて、早めに歯科医院で診察を受けることが大切です。放置すれば炎症は進行し、やがて歯を支える組織にも影響を及ぼします。
口臭
歯周病は慢性的な口臭の原因にもなります。歯周ポケットにたまった歯垢の中で増殖した細菌が、揮発性硫黄化合物などのにおいの元となるガスを発生させるためです。
特に朝起きたときや会話中に不快なにおいを感じた場合は、歯周病が進行している可能性があります。市販の口臭ケア用品では一時的な改善しか望めず、根本的に解決するためには歯周病の治療が必要です。気になる症状があれば、歯科医院で相談しましょう。
歯ぐきの後退と知覚過敏
歯周病が進行すると、歯ぐきが下がり、歯の根元が露出することがあります。これにより、冷たい水や風がしみるといった知覚過敏の症状が現れやすくなります。また、見た目にも歯が長くなったように見えるなど、審美的な変化も生じます。
症状が軽いうちに治療を開始することで、進行を防ぐことができます。
歯のぐらつきと噛み合わせの変化
歯周病が重度に進行すると、歯を支える骨(歯槽骨)が破壊され、歯がぐらつくようになります。歯が動くことで噛み合わせが変わり、食事がしづらくなったり、顎に負担がかかったりすることもあります。この状態を放置すると、最終的には歯が抜け落ちる恐れもあります。
歯の動揺や噛みにくさを感じたら、早急に歯科医院を受診し、適切な処置を受けることが大切です。
歯周病を治療する方法

歯周病の治療は、病状の進行度に応じて段階的に行われ、継続的なケアが不可欠です。
スケーリングとルートプレーニング
初期の歯周病には、スケーリングとルートプレーニングという基本的な治療が行われます。
スケーリングは、歯の表面や歯ぐきの境目に付着した歯石やプラークを専用の器具で取り除く処置です。ルートプレーニングでは、歯の根元部分の歯石や汚れ、細菌を徹底的に除去し、歯周ポケットを清潔に保ちます。
これにより歯ぐきの炎症の改善が期待できます。定期的なメンテナンスとあわせて行うことが、治療効果を高めるポイントです。
歯周外科治療
歯周病が中等度から重度まで進行している場合には、外科的な処置が必要になることがあります。
代表的な方法としてフラップ手術があり、歯ぐきを切開して深い歯周ポケット内の歯石や炎症組織を直接目視で取り除きます。また、失われた歯周組織を再生させるGTR法やエムドゲイン法などの再生療法も行われています。
これらの外科処置は、歯をできる限り残すための重要な手段です。術後のケアと定期的な通院も治療成功の鍵となります。
歯周病を予防するためには

歯周病は予防が何よりも大切です。日常の習慣を見直し、継続的なケアを心がけることで、発症や再発を防ぐことができます。
しっかり歯磨きをする
歯周病予防の基本は、毎日の丁寧な歯磨きです。
歯と歯ぐきの境目には歯垢がたまりやすく、そこから炎症が始まります。歯ブラシの毛先を歯ぐきに軽く当て、細かく動かすように磨くバス法が効果的です。また、歯間ブラシやデンタルフロスを併用することで、歯と歯の間の汚れも効率よく除去できます。
正しいブラッシング方法を身につけることが、歯周病を未然に防ぐ第一歩です。
禁煙を心がける
喫煙は歯周病の大きなリスクファクターであり、予防のためには禁煙が非常に重要です。
タバコに含まれる有害物質は、歯ぐきの血流を悪化させるだけでなく、免疫機能を低下させて細菌に対する抵抗力を弱めます。そのため、歯周病にかかりやすくなり、治療の効果も得にくくなります。
禁煙することで歯ぐきの健康が回復し、治療の成功率も大きく向上します。口腔内の健康と全身の健康、両方のために禁煙を検討しましょう。
食生活を改善する
歯周病を防ぐためには、バランスのとれた食事も欠かせません。糖分の多い食事は細菌のエサとなり、歯垢の増加を招きます。ビタミンCは歯ぐきの修復を助け、カルシウムやたんぱく質は歯や骨の健康を保つのに役立ちます。
野菜や果物、魚、大豆製品などを積極的に取り入れることで、歯周病に強い身体を作ることができます。日常の食事が予防の基礎です。
ストレスを管理する
ストレスは免疫力を低下させ、歯周病の進行を早める一因となります。また、ストレスが原因で無意識に歯ぎしりや食いしばりをする人も多く、歯や歯ぐきに負担がかかってしまいます。
リラックスできる時間を意識的に取り入れる、睡眠時間をしっかり確保する、適度に運動をするなど、心身のバランスを保つことが歯周病予防につながります。ストレス対策は、歯の健康維持にも重要な役割を果たします。
歯科医院で検診を受ける
歯周病は自覚症状が少ないため、自分では気づきにくい病気です。だからこそ、定期的に歯科医院で検診を受けることが大切です。定期的に検診を受けることで、早期発見・早期治療につながります。症状がなくても、3~6か月に1回の頻度で検診を受けましょう。
まとめ

歯周病は、歯ぐきの炎症から始まり、進行すると歯を支える骨まで破壊する深刻な病気です。初期段階ではほとんど自覚症状がないため、知らず知らずのうちに悪化してしまうことも少なくありません。
しかし、毎日の正しい歯磨きや生活習慣の見直し、定期的な歯科検診を習慣にすることで、歯周病は十分に予防・管理が可能です。また、歯周病は全身の健康とも密接に関係しているため、お口のケアを怠ることは将来的な病気のリスクにもつながります。
歯と体の健康を守るために、今できる予防から始めましょう。
歯周病の症状にお悩みの方は、広島市安佐南区伴南の歯医者「こころ歯科クリニック」にお気軽にご相談ください。
当院は、患者様に分かりやすい丁寧な治療を意識して診療にあたっています。虫歯・歯周病治療をはじめ、小児歯科、入れ歯・インプラント治療、矯正治療、審美治療・ホワイトニングなど、幅広く診療しております。
当院のホームページはこちら、Web診療予約も受け付けておりますので、ぜひご活用ください。公式Instagramも更新しておりますので、ぜひチェックしてみてください。

■この記事の監修者
医療法人青心会 理事長
こころ歯科クリニック 院長
青戸 光紀
経歴
- 2000年 福岡歯科大学 卒業
- 2006年 こころ歯科クリニック 開院
- 2012年 医療法人 青心会 起業
- 2015年 医療法人 青心会 ラベンダー歯科 開院
- 2016年 医療法人 青心会 メリィハウス歯科 開院
修了研修・学会等
- 2003年 日本歯科研修研究協会(Japan Postgraduate Dentistry) 認定医
- 2011年 DBA 矯正コース 修得
- 2017年 日本口腔インプラント学会 専修医





